• Tel: 858.663.9055
  • SeparatorEmail: info@nsjbio.com
  • Tel: 858.663.9055
  • Email: info@nsjbio.com
Home >> Antibodies >> Zebrafish Axin2 Antibody / Axis inhibition protein 2

Zebrafish Axin2 Antibody / Axis inhibition protein 2 (RZ1205)

  Catalog No Formulation Size Price (USD)  
Image RZ1205 0.5mg/ml if reconstituted with 0.2ml sterile DI water 100 ug 539
Bulk quote request
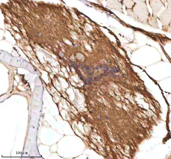
IHC staining of zebrafish Axin2 protein using Zebrafish Axin2 antibody, HRP-labeled secondary and DAB substrate. Axin2 was detected in a paraffin-embedded section of zebrafish spinal cord tissue. HIER: boil tissue sections in pH8 EDTA for 20 min and allow to cool before testing.
IHC staining of zebrafish Axin2 protein using Zebrafish Axin2 antibody, HRP-labeled secondary and DAB substrate. Axin2 was detected in a paraffin-embedded section of zebrafish colon tissue. HIER: boil tissue sections in pH8 EDTA for 20 min and allow to cool before testing.
Availability 2-3 weeks
Species Reactivity Zebrafish
Format Antigen affinity purified
Clonality Polyclonal (rabbit origin)
Isotype Rabbit Ig
Purity Antigen affinity chromatography
Buffer Lyophilized from 1X PBS with 2% Trehalose
UniProt P57095
Localization Cytoplasm
Applications Immunohistochemistry (FFPE) : 2-5ug/ml
Limitations This Zebrafish Axin2 antibody is available for research use only.
Review this product on BioCompare and get a $20 Amazon gift card

Related Products

Description

Axin2 is a key scaffolding protein involved in the regulation of the Wnt/Beta-catenin signaling pathway, a critical pathway for cell fate determination, embryonic patterning, and tissue homeostasis. In zebrafish (Danio rerio), Axin2 serves as both a negative regulator and a transcriptional target of Wnt signaling, establishing it as a vital component in feedback control of the pathway.

Zebrafish axin2 is dynamically expressed during embryogenesis, particularly in regions undergoing active morphogenesis such as the neural tube, somites, and developing fins. By promoting the degradation of Beta-catenin, Axin2 attenuates Wnt signaling activity and ensures the precise spatial and temporal regulation of target gene expression. Its expression is commonly used as a molecular readout of Wnt/Beta-catenin pathway activity in vivo.

Because of its highly conserved role in Wnt signaling, zebrafish Axin2 is widely utilized in studies of developmental biology, stem cell regulation, tissue regeneration, and cancer research. It also serves as an important biomarker for monitoring Wnt pathway modulation in both genetic and pharmacological studies.

Application Notes

Optimal dilution of the Zebrafish Axin2 antibody should be determined by the researcher.

Immunogen

E. coli-derived zebrafish Axin2 recombinant protein (amino acids H86-D812) was used as the immunogen for the Zebrafish Axin2 antibody.

Storage

After reconstitution, the Zebrafish Axin2 antibody can be stored for up to one month at 4oC. For long-term, aliquot and store at -20oC. Avoid repeated freezing and thawing.

Cross
Bulk Quote Request Form
Name*:
Organization*:
Email*:
Phone Number*:
Catalog No.*:
Comments and Specifics(amount, formulation, etc.)*:
Validation code: Captchapackage Image


Can't read the image? click here to refresh.
    *required field

Your bulk quote request has been submitted successfully!

Please contact us if you have any questions.