• Tel: 858.663.9055
  • SeparatorEmail: info@nsjbio.com
  • Tel: 858.663.9055
  • Email: info@nsjbio.com
Home >> Antibodies >> Zebrafish Ascl1a Antibody / Achaete-scute homolog 1

Zebrafish Ascl1a Antibody / Achaete-scute homolog 1 (RZ1203)

  Catalog No Formulation Size Price (USD)  
Image RZ1203 0.5mg/ml if reconstituted with 0.2ml sterile DI water 100 ug 539
Bulk quote request
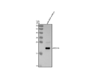
Western blot analysis of Ascl1a protein using Zebrafish Ascl1a antibody and zebrafish embryo tissue lysates. Predicted molecular weight ~22 kDa.
Availability 2-3 weeks
Species Reactivity Zebrafish
Format Antigen affinity purified
Clonality Polyclonal (rabbit origin)
Isotype Rabbit Ig
Purity Antigen affinity chromatography
Buffer Lyophilized from 1X PBS with 2% Trehalose
UniProt Q90259
Applications Western Blot : 0.5-1ug/ml
Limitations This Zebrafish Ascl1a antibody is available for research use only.
Review this product on BioCompare and get a $20 Amazon gift card

Related Products

Description

Achaete-scute family bHLH transcription factor 1a (Ascl1a) is a basic helix-loop-helix (bHLH) transcription factor that plays a crucial role in neurogenesis and cell fate determination. In zebrafish (Danio rerio), Ascl1a is a key regulator of neural progenitor proliferation and differentiation, particularly within the central nervous system, retina, and intestinal epithelium.

Ascl1a acts downstream of proneural signaling pathways and promotes the commitment of progenitor cells to a neuronal lineage. It is expressed in neural precursor cells during embryonic development and is reactivated in regenerative contexts. In the zebrafish retina and brain, Ascl1a is essential for the regeneration of neurons following injury, making it a prominent factor in regenerative neurobiology.

Zebrafish Ascl1a is widely used as a model for studying the molecular mechanisms of neuronal differentiation, stem cell biology, and tissue regeneration. Its expression is tightly regulated by signaling pathways such as Notch, and its function is conserved across vertebrates, including in mammalian neurogenesis.

Application Notes

Optimal dilution of the Zebrafish Ascl1a antibody should be determined by the researcher.

Immunogen

E. coli-derived zebrafish Ascl1a recombinant protein (amino acids M1-F196) was used as the immunogen for the Zebrafish Ascl1a antibody.

Storage

After reconstitution, the Zebrafish Ascl1a antibody can be stored for up to one month at 4oC. For long-term, aliquot and store at -20oC. Avoid repeated freezing and thawing.

Cross
Bulk Quote Request Form
Name*:
Organization*:
Email*:
Phone Number*:
Catalog No.*:
Comments and Specifics(amount, formulation, etc.)*:
Validation code: Captchapackage Image


Can't read the image? click here to refresh.
    *required field

Your bulk quote request has been submitted successfully!

Please contact us if you have any questions.