• Tel: 858.663.9055
  • SeparatorEmail: info@nsjbio.com
  • Tel: 858.663.9055
  • Email: info@nsjbio.com
Home >> Antibodies >> Zebrafish Ak2 Antibody / Adenylate kinase 2

Zebrafish Ak2 Antibody / Adenylate kinase 2 (F54506)

  Catalog No Formulation Size Price (USD)  
Image F54506-0.2ML In 1X PBS, pH 7.4, with 0.09% sodium azide 0.2 ml 429
Image
F54506-0.05ML In 1X PBS, pH 7.4, with 0.09% sodium azide 0.05 ml 199
Bulk quote request
IHC testing of FFPE zebrafish body tissue with zebrafish Ak2 antibody. HIER: steam section in pH6 citrate buffer for 20 min and allow to cool prior to staining.
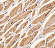
IHC testing of FFPE human heart tissue with zebrafish Ak2 antibody. HIER: steam section in pH6 citrate buffer for 20 min and allow to cool prior to staining.
Western blot testing of 1) whole zebrafish, 2) zebrafish ZF4, 3) human heart and 4) mouse liver lysate with zebrafish Ak2 antibody. Predicted molecular weight ~26 kDa.
Flow cytometry testing of fixed and permeabilized zebrafish ZF4 cells with zebrafish Ak2 antibody; Blue=isotype control, Green= Ak2 antibody.
Availability 1-3 business days
Species Reactivity Zebrafish, Human, Mouse
Format Purified
Clonality Polyclonal (rabbit origin)
Isotype Rabbit Ig
Purity Antigen affinity purified
UniProt Q1L8L9
Localization Cytoplasmic
Applications Western Blot : 1:500-1:2000
Immunohistochemistry (FFPE) : 1:25
Flow Cytometry : 1:25 (1x10e6 cells)
Limitations This zebrafish Ak2 antibody is available for research use only.
Review this product on BioCompare and get a $20 Amazon gift card

Related Products

Description

Catalyzes the reversible transfer of the terminal phosphate group between ATP and AMP. Plays an important role in cellular energy homeostasis and in adenine nucleotide metabolism. Adenylate kinase activity is critical for regulation of the phosphate utilization and the AMP de novo biosynthesis pathways. Plays a key role in hematopoiesis.

Application Notes

The stated application concentrations are suggested starting points. Titration of the zebrafish Ak2 antibody may be required due to differences in protocols and secondary/substrate sensitivity.

Immunogen

Recombinant human protein was used as the immunogen for the zebrafish Ak2 antibody.

Storage

Aliquot the zebrafish Ak2 antibody and store frozen at -20oC or colder. Avoid repeated freeze-thaw cycles.

Cross
Bulk Quote Request Form
Name*:
Organization*:
Email*:
Phone Number*:
Catalog No.*:
Comments and Specifics(amount, formulation, etc.)*:
Validation code: Captchapackage Image


Can't read the image? click here to refresh.
    *required field

Your bulk quote request has been submitted successfully!

Please contact us if you have any questions.