• Tel: 858.663.9055
  • SeparatorEmail: info@nsjbio.com
  • Tel: 858.663.9055
  • Email: info@nsjbio.com
Home >> Antibodies >> Zebrafish Actin-related protein 2 Antibody / Actr2 / Arp2

Zebrafish Actin-related protein 2 Antibody / Actr2 / Arp2 (RZ1006)

  Catalog No Formulation Size Price (USD)  
Image RZ1006 0.5mg/ml if reconstituted with 0.2ml sterile DI water 100 ug 539
Bulk quote request
IHC staining of FFPE zebrafish retina tissue with Zebrafish Actin-related protein 2 antibody. HIER: boil tissue sections in pH8 EDTA for 20 min and allow to cool before testing.
Western blot analysis of Actin-related protein 2 protein using Zebrafish Actin-related protein 2 antibody and 1) zebrafish head 2) female zebrafish viscera, 3) male zebrafish viscera, 4) whole zebrafish 5) zebrafish embryo tissue lysate. Expected molecular weight ~45 kDa.
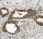
IHC staining of FFPE zebrafish kidney tissue with Zebrafish Actin-related protein 2 antibody. HIER: boil tissue sections in pH8 EDTA for 20 min and allow to cool before testing.
IHC staining of FFPE zebrafish brain tissue with Zebrafish Actin-related protein 2 antibody. HIER: boil tissue sections in pH8 EDTA for 20 min and allow to cool before testing.
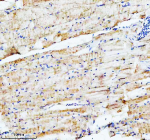
IHC staining of FFPE zebrafish skeletal muscle tissue with Zebrafish Actin-related protein 2 antibody. HIER: boil tissue sections in pH8 EDTA for 20 min and allow to cool before testing.
Availability 2-3 weeks
Species Reactivity Zebrafish
Format Antigen affinity purified
Clonality Polyclonal (rabbit origin)
Isotype Rabbit Ig
Purity Antigen affinity chromatography
Buffer Lyophilized from 1X PBS with 2% Trehalose
UniProt Q7SXW6
Applications Western Blot : 0.5-1 ug/ml
Immunohistochemistry (FFPE) : 2-5 ug/ml
Limitations This Zebrafish Actin-related protein 2 antibody is available for research use only.
Review this product on BioCompare and get a $20 Amazon gift card

Related Products

Description

The specific function of this gene has not yet been determined; however, the protein it encodes is known to be a major constituent of the ARP2/3 complex. This complex is located at the cell surface and is essential to cell shape and motility through lamellipodial actin assembly and protrusion. Two transcript variants encoding different isoforms have been found for this gene.

Application Notes

Optimal dilution of the Zebrafish Actin-related protein 2 antibody should be determined by the researcher.

Immunogen

An E.coli-derived zebrafish ARP2/Actr2 recombinant protein (amino acids M1-R394) was used as the immunogen for the Zebrafish Actin-related protein 2 antibody.

Storage

After reconstitution, the Zebrafish Actin-related protein 2 antibody can be stored for up to one month at 4oC. For long-term, aliquot and store at -20oC. Avoid repeated freezing and thawing.

Cross
Bulk Quote Request Form
Name*:
Organization*:
Email*:
Phone Number*:
Catalog No.*:
Comments and Specifics(amount, formulation, etc.)*:
Validation code: Captchapackage Image


Can't read the image? click here to refresh.
    *required field

Your bulk quote request has been submitted successfully!

Please contact us if you have any questions.