• Tel: 858.663.9055
  • SeparatorEmail: info@nsjbio.com
  • Tel: 858.663.9055
  • Email: info@nsjbio.com
Home >> Antibodies >> ZDHHC21 Antibody / DHHC-21

ZDHHC21 Antibody / DHHC-21 (F54815)

  Catalog No Formulation Size Price (USD)  
Image F54815-0.4ML In 1X PBS, pH 7.4, with 0.09% sodium azide 0.4 ml 429
Image
F54815-0.08ML In 1X PBS, pH 7.4, with 0.09% sodium azide 0.08 ml 199
Bulk quote request
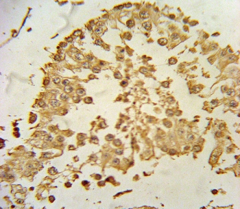
IHC testing of FFPE human testis tissue with ZDHHC21 antibody. HIER: steam section in pH6 citrate buffer for 20 min and allow to cool prior to staining.
Western blot testing of human SH-SY5Y cell lysate with ZDHHC21 antibody. Predicted molecular weight ~31 kDa.
Western blot testing of mouse liver tissue lysate with ZDHHC21 antibody. Predicted molecular weight ~31 kDa.
Flow cytometry testing of human HEK293 cells with ZDHHC21 antibody; Blue=isotype control, Green= ZDHHC21 antibody.
Availability 1-3 business days
Species Reactivity Human, Mouse
Format Purified
Clonality Polyclonal (rabbit origin)
Isotype Rabbit Ig
Purity Antigen affinity purified
UniProt Q8IVQ6
Localization Cytoplasmic, cell membrane
Applications Western Blot : 1:500-1:1000
Flow Cytometry : 1:10-1:50 (1x10e6 cells)
Immunohistochemistry (FFPE) : 1:10-1:50
Limitations This ZDHHC21 antibody is available for research use only.
Review this product on BioCompare and get a $20 Amazon gift card

Description

Palmitoyltransferase that catalyzes the addition of palmitate onto various protein substrates. [UniProt]

Application Notes

The stated application concentrations are suggested starting points. Titration of the ZDHHC21 antibody may be required due to differences in protocols and secondary/substrate sensitivity.

Immunogen

A portion of amino acids 59-87 from the human protein was used as the immunogen for the ZDHHC21 antibody.

Storage

Aliquot the ZDHHC21 antibody and store frozen at -20oC or colder. Avoid repeated freeze-thaw cycles.

Cross
Bulk Quote Request Form
Name*:
Organization*:
Email*:
Phone Number*:
Catalog No.*:
Comments and Specifics(amount, formulation, etc.)*:
Validation code: Captchapackage Image


Can't read the image? click here to refresh.
    *required field

Your bulk quote request has been submitted successfully!

Please contact us if you have any questions.