• Tel: 858.663.9055
  • SeparatorEmail: info@nsjbio.com
  • Tel: 858.663.9055
  • Email: info@nsjbio.com
Home >> Antibodies >> ZDHHC17 Antibody

ZDHHC17 Antibody (R33365)

  Catalog No Formulation Size Price (USD)  
Image R33365-100UG 0.5 mg/ml in 1X TBS, pH7.3, with 0.5% BSA (US sourced) and 0.02% sodium azide 100 ug 449
Bulk quote request
Western blot testing of mouse brain lysate with ZDHHC17 antibody at 1ug/ml. Predicted molecular weight: ~73 kDa.
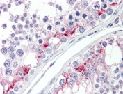
IHC testing of FFPE human testis tissue with ZDHHC17 antibody at 5ug/ml. Required HIER: steamed antigen retrieval with pH6 citrate buffer; AP-staining.
Availability 1-3 business days
Species Reactivity Human, Mouse
Predicted Reactivity Rat, Dog, Cow
Format Antigen affinity purified
Clonality Polyclonal (goat origin)
Isotype Goat Ig
Purity Antigen affinity
Gene ID 23390
Localization Cytoplasmic
Applications Western Blot : 1-3ug/ml
IHC (FFPE) : 5ug/ml
ELISA (peptide) LOD : 1:8000
Limitations This ZDHHC17 antibody is available for research use only.
Review this product on BioCompare and get a $20 Amazon gift card

Related Products

  • Applications : WB
    Reactivity : Human
    Pred. Reactivity : Mouse

Description

Additional name(s) for this target protein: Zinc finger, DHHC domain containing 17

Application Notes

Optimal dilution of the ZDHHC17 antibody should be determined by the researcher.

Immunogen

Amino acids CYDQISGSGYQLV were used as the immunogen for this ZDHHC17 antibody.

Storage

Aliquot and store the ZDHHC17 antibody at -20oC.

Cross
Bulk Quote Request Form
Name*:
Organization*:
Email*:
Phone Number*:
Catalog No.*:
Comments and Specifics(amount, formulation, etc.)*:
Validation code: Captchapackage Image


Can't read the image? click here to refresh.
    *required field

Your bulk quote request has been submitted successfully!

Please contact us if you have any questions.