• Tel: 858.663.9055
  • SeparatorEmail: info@nsjbio.com
  • Tel: 858.663.9055
  • Email: info@nsjbio.com
Home >> Antibodies >> ZBTB46 Antibody / BTBD4 / ZNF340

ZBTB46 Antibody / BTBD4 / ZNF340 [clone PCRP-ZBTB46-2B8] (V9224)

  Catalog No Formulation Size Price (USD)  
Image V9224-100UG 0.2 mg/ml in 1X PBS with 0.1 mg/ml BSA (US sourced), 0.05% sodium azide 100 ug 539
Image
V9224-20UG 0.2 mg/ml in 1X PBS with 0.1 mg/ml BSA (US sourced), 0.05% sodium azide 20 ug 249
Image
V9224SAF-100UG 1 mg/ml in 1X PBS; BSA free, sodium azide free 100 ug 539
Microvalidated
Bulk quote request
FACS staining of PFA-fixed human HeLa cells with ZBTB46 antibody (blue, clone PCRP-ZBTB46-2B8), and unstained cells (red).
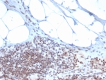
IHC staining of FFPE human tonsil tissue with ZBTB46 antibody (clone PCRP-ZBTB46-2B8). HIER: boil tissue sections in pH 9 10mM Tris with 1mM EDTA for 20 min and allow to cool before testing.
Analysis of HuProt(TM) microarray containing more than 19,000 full-length human proteins using ZBTB46 antibody (clone PCRP-ZBTB46-2B8). These results demonstrate the foremost specificity of the PCRP-ZBTB46-2B8 mAb. Z- and S- score: The Z-score represents the strength of a signal that an antibody (in combination with a fluorescently-tagged anti-IgG secondary Ab) produces when binding to a particular protein on the HuProt(TM) array. Z-scores are described in units of standard deviations (SD's) above the mean value of all signals generated on that array. If the targets on the HuProt(TM) are arranged in descending order of the Z-score, the S-score is the difference (also in units of SD's) between the Z-scores. The S-score therefore represents the relative target specificity of an Ab to its intended target.
SDS-PAGE analysis of purified, BSA-free ZBTB46 antibody (PCRP-ZBTB46-2B8) as confirmation of integrity and purity.
Availability 1-3 business days
Species Reactivity Human
Format Purified
Clonality Monoclonal (mouse origin)
Isotype Mouse IgG2a
Clone Name PCRP-ZBTB46-2B8
Purity Protein A/G affinity
UniProt Q86UZ6
Localization Nucleus
Applications Flow Cytometry : 1-2ug/million cells
Immunofluorescence : 1-2ug/ml
Western Blot : 1-2ug/ml
Immunohistochemistry (FFPE) : 1-2ug/ml
Limitations This ZBTB46 antibody is available for research use only.
Review this product on BioCompare and get a $20 Amazon gift card

Description

BTBD4 (BTB/POZ domain-containing protein 4), also known as zinc finger protein 340 (ZNF340) or zinc finger and BTB domain-containing protein 46 (ZBTB46), is a 589 amino acid protein that contains one BTB/POZ domain. The BTB/POZ domain mediates homomeric and heteromeric POZ-POZ inter- actions and is common to transcriptional regulators involved in chromatin modeling. In several BTB/POZ containing proteins, including BCL-6 and the promyelocytic leukemia zinc-finger (PLZF) oncoprotein, this domain interacts with the SMRT/N-CoR-mSin3A HDAC complex and is directly involved in repressing and silencing gene transcription. When this domain is deleted, as with the oncogenic PLZF-RAR chimera of promyelocytic leukemias, this tran- scriptional repression is attenuated. This suggests that BTBD4 may play a role in transcription regulation.

Application Notes

Optimal dilution of the ZBTB46 antibody should be determined by the researcher.

Immunogen

Recombinant full-length human Zinc finger and BTB domain-containing protein 46 protein was used as the immunogen for the ZBTB46 antibody.

Storage

Aliquot the ZBTB46 antibody and store frozen at -20oC or colder. Avoid repeated freeze-thaw cycles.

Cross
Bulk Quote Request Form
Name*:
Organization*:
Email*:
Phone Number*:
Catalog No.*:
Comments and Specifics(amount, formulation, etc.)*:
Validation code: Captchapackage Image


Can't read the image? click here to refresh.
    *required field

Your bulk quote request has been submitted successfully!

Please contact us if you have any questions.