• Tel: 858.663.9055
  • SeparatorEmail: info@nsjbio.com
  • Tel: 858.663.9055
  • Email: info@nsjbio.com
Home >> Antibodies >> Yin and yang 1 Antibody / YY1

Yin and yang 1 Antibody / YY1 [clone 6H3E1] (RQ7049)

  Catalog No Formulation Size Price (USD)  
Image RQ7049 0.5mg/ml if reconstituted with 0.2ml sterile DI water 100 ug 439
Bulk quote request
Flow cytometry testing of human PC-3 cells with Yin and yang 1 antibody at 1ug/million cells (blocked with goat sera); Red=cells alone, Green=isotype control, Blue= Yin and yang 1 antibody.
Western blot testing of 1) human Caco-2, 2) human SW620, 3) human MDA-MB-453, 4) human PC-3, 5) rat thymus and 6) mouse thymus tissue lysate with Yin and yang 1 antibody. Predicted molecular weight ~45 kDa but commonly observed at 45~65 kDa.
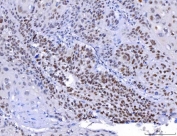
IHC staining of FFPE human laryngeal squamous cell carcinoma tissue with Yin and yang 1 antibody. HIER: boil tissue sections in pH8 EDTA for 20 min and allow to cool before testing.
Availability 1-3 business days
Species Reactivity Human, Mouse, Rat
Format Antigen affinity purified
Clonality Monoclonal (mouse origin)
Isotype Mouse IgG2b
Clone Name 6H3E1
Purity Antigen affinity purified
Buffer Lyophilized from 1X PBS with 2% Trehalose
UniProt P25490
Localization Nuclear
Applications Western Blot : 0.5-1 ug/ml
Immunohistochemistry (FFPE) : 2-5ug/ml
Flow Cytometry : 1-3ug/million cells
Limitations This Yin and yang 1 antibody is available for research use only.
Review this product on BioCompare and get a $20 Amazon gift card

Related Products

Description

YY1 (Yin Yang 1) is a transcriptional repressor protein in humans that is encoded by the YY1 gene. YY1 is a ubiquitously distributed transcription factor belonging to the GLI-Kruppel class of zinc finger proteins. The protein is involved in repressing and activating a diverse number of promoters. YY1 may direct histone deacetylases and histone acetyltransferases to a promoter in order to activate or repress the promoter, thus implicating histone modification in the function of YY1.

Application Notes

Optimal dilution of the Yin and yang 1 antibody should be determined by the researcher.

Immunogen

Amino acids EQKQVQIKTLEGEFSVTMWSSDEKKDIDHETVVEEQ were used as the immunogen for the Yin and yang 1 antibody.

Storage

After reconstitution, the Yin and yang 1 antibody can be stored for up to one month at 4oC. For long-term, aliquot and store at -20oC. Avoid repeated freezing and thawing.

Cross
Bulk Quote Request Form
Name*:
Organization*:
Email*:
Phone Number*:
Catalog No.*:
Comments and Specifics(amount, formulation, etc.)*:
Validation code: Captchapackage Image


Can't read the image? click here to refresh.
    *required field

Your bulk quote request has been submitted successfully!

Please contact us if you have any questions.