• Tel: 858.663.9055
  • SeparatorEmail: info@nsjbio.com
  • Tel: 858.663.9055
  • Email: info@nsjbio.com
Home >> Antibodies >> XAB2 Antibody

XAB2 Antibody (R36101)

  Catalog No Formulation Size Price (USD)  
Image R36101-100UG 0.5 mg/ml in 1X TBS, pH7.3, with 0.5% BSA (US sourced) and 0.02% sodium azide 100 ug 449
Bulk quote request
Western blot testing of A431 lysate with XAB2 antibody at 0.3ug/ml. Predicted molecular weight: ~100kDa.
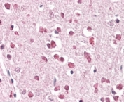
IHC staining of FFPE human cerebral cortex with XAB2 antibody at 4ug/ml. HIER: steamed with pH6 citrate buffer, AP-staining.
Availability 1-3 business days
Species Reactivity Human
Predicted Reactivity Cow, Dog, Mouse, Rat
Format Antigen affinity purified
Clonality Polyclonal (goat origin)
Isotype Goat Ig
Purity Antigen affinity
Gene ID 56949
Applications Western Blot : 0.3-1ug/ml
Immunohistochemistry (FFPE) : 3-4ug/ml
ELISA (peptide) LOD : 1:8000
Limitations This XAB2 antibody is available for research use only.
Review this product on BioCompare and get a $20 Amazon gift card

Description

Additional name(s) for this target protein: XPA binding protein 2, HCNP, HCRN

Application Notes

Optimal dilution of the XAB2 antibody should be determined by the researcher.

Immunogen

Amino acids SVPAAVFGSLKED were used as the immunogen for this XAB2 antibody.

Storage

Aliquot and store the XAB2 antibody at -20oC.

Cross
Bulk Quote Request Form
Name*:
Organization*:
Email*:
Phone Number*:
Catalog No.*:
Comments and Specifics(amount, formulation, etc.)*:
Validation code: Captchapackage Image


Can't read the image? click here to refresh.
    *required field

Your bulk quote request has been submitted successfully!

Please contact us if you have any questions.