• Tel: 858.663.9055
  • SeparatorEmail: info@nsjbio.com
  • Tel: 858.663.9055
  • Email: info@nsjbio.com
Home >> Antibodies >> XAB1 Antibody / GPN1

XAB1 Antibody / GPN1 [clone GPN1/2350] (V3826)

  Catalog No Formulation Size Price (USD)  
Image V3826-100UG 0.2 mg/ml in 1X PBS with 0.1 mg/ml BSA (US sourced) and 0.05% sodium azide 100 ug 539
Image
V3826-20UG 0.2 mg/ml in 1X PBS with 0.1 mg/ml BSA (US sourced) and 0.05% sodium azide 20 ug 249
Image
V3826SAF-100UG 1 mg/ml in 1X PBS; BSA free, sodium azide free 100 ug 539
Microvalidated
Bulk quote request
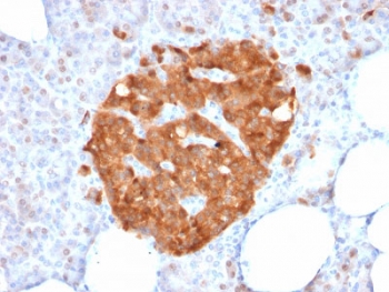
IHC testing of FFPE human pancreas with XAB1 antibody (clone GPN1/2350). Required HIER: boil sections in 10mM citrate buffer, pH6, for 10-20 min.
Analysis of HuProt(TM) microarray containing more than 19,000 full-length human proteins using XAB1 antibody (clone GPN1/2350). These results demonstrate the foremost specificity of the GPN1/2350 mAb.
Z- and S- score: The Z-score represents the strength of a signal that an antibody (in combination with a fluorescently-tagged anti-IgG secondary Ab) produces when binding to a particular protein on the HuProt(TM) array. Z-scores are described in units of standard deviations (SD's) above the mean value of all signals generated on that array. If the targets on the HuProt(TM) are arranged in descending order of the Z-score, the S-score is the difference (also in units of SD's) between the Z-scores. The S-score therefore represents the relative target specificity of an Ab to its intended target.
SDS-PAGE analysis of purified, BSA-free XAB1 antibody (clone GPN1/2350) as confirmation of integrity and purity.
Species Reactivity Human
Format Purified
Clonality Monoclonal (mouse origin)
Isotype Mouse IgG1, kappa
Clone Name GPN1/2350
Purity Protein G affinity chromatography
UniProt Q9HCN4
Localization Nuclear
Applications ELISA (order BSA/sodium Azide-free Format For Coating) :
Western Blot : 1-2ug/ml
Limitations This XAB1 antibody is available for research use only.
Review this product on BioCompare and get a $20 Amazon gift card

Description

GPN1 (GPN-loop GTPase 1), also called XAB1 (XPA-binding protein 1) is involved in protein synthesis events. It is expressed ubiquitously with highest expression in testis. It binds to the RNA polymerase II- (Poll II) associated proteins RPAP1-3 and to XPA (a protein involved in DNA repair mechanisms), thereby forming an interface with Poll II. Via this interaction, GPN1 is thought to mediate the involvement of Pol II in both protein complex formation and protein chaperone/ scaffolding activities. In addition, GPN1 interacts with components of the integrator and molecular chaperone complexes, further implicating it in protein assembly. GPN1 contains a cluster of acidic amino acids in its C-terminal region and a series of sequences similar to those found in GTP-binding proteins in its N-terminal region, suggesting that it has possible GTPase activity.

Application Notes

The concentration stated for each application is a general starting point. Variations in protocols, secondaries and substrates may require the XAB1 antibody to be titered up or down for optimal performance.

Immunogen

Recombinant full length human protein was used as the immunogen for this XAB1 antibody.

Storage

Store the XAB1 antibody at 2-8oC (with azide) or aliquot and store at -20oC or colder (without azide).

Cross
Bulk Quote Request Form
Name*:
Organization*:
Email*:
Phone Number*:
Catalog No.*:
Comments and Specifics(amount, formulation, etc.)*:
Validation code: Captchapackage Image


Can't read the image? click here to refresh.
    *required field

Your bulk quote request has been submitted successfully!

Please contact us if you have any questions.