• Tel: 858.663.9055
  • SeparatorEmail: info@nsjbio.com
  • Tel: 858.663.9055
  • Email: info@nsjbio.com
Home >> Antibodies >> WT1 Antibody / Wilms Tumor 1

WT1 Antibody / Wilms Tumor 1 [clone WT1/857] (V2932)

  Catalog No Formulation Size Price (USD)  
Image V2932-100UG 0.2 mg/ml in 1X PBS with 0.1 mg/ml BSA (US sourced) and 0.05% sodium azide 100 ug 539
Image
V2932-20UG 0.2 mg/ml in 1X PBS with 0.1 mg/ml BSA (US sourced) and 0.05% sodium azide 20 ug 249
Image
V2932SAF-100UG 1 mg/ml in 1X PBS; BSA free, sodium azide free 100 ug 539
Image
V2932IHC-7ML Prediluted in 1X PBS with 0.1 mg/ml BSA (US sourced) and 0.05% sodium azide; *For IHC use only* 7 ml 539
Bulk quote request
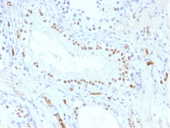
IHC testing of formalin-fixed, paraffin-embedded human testis stained with WT1 antibody (clone WT1/857). Required HIER: boil tissue sections in pH 9 10mM Tris with 1mM EDTA for 10-20 min followed by cooling at RT for 20 min.
IHC testing of FFPE human mesothelioma with WT1 antibody (clone WT1/857). Required HIER: boil tissue sections in pH 9 10mM Tris with 1mM EDTA for 10-20 min followed by cooling at RT for 20 min.
IHC testing of FFPE rat testis with WT1 antibody (clone WT1/857). Required HIER: boil tissue sections in pH 9 10mM Tris with 1mM EDTA for 10-20 min followed by cooling at RT for 20 min.
SDS-PAGE analysis of purified, BSA-free WT1 antibody (clone WT1/857) as confirmation of integrity and purity.
Availability 1-3 business days
Species Reactivity Human, Rat
Format Purified
Clonality Monoclonal (mouse origin)
Isotype Mouse IgG1, kappa
Clone Name WT1/857
Purity Protein G affinity chromatography
UniProt P19544
Localization Nuclear, cytoplasmic
Applications Immunohistochemistry (FFPE) : 1-2ug/ml for 30 min at RT
Limitations This WT1 antibody is available for research use only.
Review this product on BioCompare and get a $20 Amazon gift card

Related Products

Description

WT1 antibody clone WT1/857 is a monoclonal antibody that recognizes Wilms tumor protein, a transcription factor involved in cellular growth, apoptosis, and organ development. WT1 is expressed in the kidney, gonads, and mesothelial tissues, with aberrant expression in a range of tumors. NSJ Bioreagents supplies this antibody for oncology, nephrology, and developmental biology research.

The antibody produces strong nuclear staining in mesothelial cells, renal podocytes, and hematopoietic tissues. In diagnostic pathology, WT1 detection is widely used in panels to distinguish mesothelioma from adenocarcinoma. It also supports evaluation of Wilms tumor and certain leukemias, providing pathologists with a reliable diagnostic tool.

In oncology, WT1 antibody clone WT1/857 is applied to research into tumor progression, prognosis, and therapy. WT1 has been studied as a biomarker in leukemia, ovarian carcinoma, and mesothelioma, where overexpression correlates with poor outcomes. The antibody enables consistent monitoring of WT1 levels across experimental and clinical samples.

In developmental biology, WT1 detection helps chart kidney and gonadal organogenesis. It has been applied in models of embryonic development to reveal how transcriptional regulators coordinate tissue differentiation. These studies are central to understanding congenital malformations and genitourinary syndromes.

In immunotherapy research, WT1 is a leading candidate for tumor antigen vaccines. This antibody has been used to confirm WT1 expression in candidate tumor models, ensuring appropriate selection for translational research. Its reproducibility makes it a standard reagent for both diagnostic and experimental settings.

Validated across multiple applications, the antibody consistently provides nuclear staining with minimal background. Alternate names include Wilms tumor 1 protein antibody, zinc finger protein WT1 antibody, and tumor suppressor WT1 antibody.

Application Notes

Optimal dilution of the WT1 antibody should be determined by the researcher.

1. The prediluted format is supplied in a dropper bottle and is optimized for use in IHC. After epitope retrieval step (if required), drip mAb solution onto the tissue section and incubate at RT for 30 min.
2. View the recombinant version of the WT1/857 mAb.

Immunogen

A recombinant human protein was used as the immunogen for the WT1 antibody.

Storage

Store the WT1 antibody at 2-8oC (with azide) or aliquot and store at -20oC or colder (without azide).

Cross
Bulk Quote Request Form
Name*:
Organization*:
Email*:
Phone Number*:
Catalog No.*:
Comments and Specifics(amount, formulation, etc.)*:
Validation code: Captchapackage Image


Can't read the image? click here to refresh.
    *required field

Your bulk quote request has been submitted successfully!

Please contact us if you have any questions.