• Tel: 858.663.9055
  • SeparatorEmail: info@nsjbio.com
  • Tel: 858.663.9055
  • Email: info@nsjbio.com
Home >> Antibodies >> WNT2B Antibody

WNT2B Antibody (RQ5928)

  Catalog No Formulation Size Price (USD)  
Image RQ5928 0.5mg/ml if reconstituted with 0.2ml sterile DI water 100 ug 439
Bulk quote request
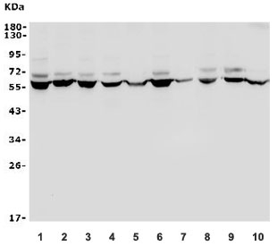
Western blot testing of human 1) HEK293, 2) HepG2, 3) Jurkat, 4) A549, 5) Raji, 6) SW620, 7) SK-O-V3, 8) rat PC-12, 9) mouse Neuro-2a and 10) mouse ANA-1 lysate with WNT2B antibody. Predicted molecular weight ~44 kDa, comonly observed at 44-60 kDa.
Availability 1-3 business days
Species Reactivity Human, Mouse, Rat
Format Antigen affinity purified
Clonality Polyclonal (rabbit origin)
Isotype Rabbit IgG
Purity Affinity purified
Buffer Lyophilized from 1X PBS with 2% Trehalose and 0.025% sodium azide
UniProt Q93097
Applications Western Blot : 0.5-1ug/ml
Direct ELISA : 0.1-0.5ug/ml
Limitations This WNT2B antibody is available for research use only.
Review this product on BioCompare and get a $20 Amazon gift card

Related Products

  • Applications : WB
    Reactivity : Human, Mouse, Rat
  • Applications : WB, IHC-P
    Reactivity : Human, Mouse, Rat

Description

WNT2B (Wingless-Type MMTV Integration Site Family Member 2B), is a protein that in humans is encoded by the WNT2B gene. This gene encodes a member of the wingless-type MMTV integration site (WNT) family of highly conserved, secreted signaling factors. Katoh et al. (1996) used fluorescence in situ hybridization to map the WNT13 gene to chromosome 1p13. WNT family members function in a variety of developmental processes including regulation of cell growth and differentiation and are characterized by a WNT-core domain. This gene may play a role in human development as well as human carcinogenesis.

Application Notes

Optimal dilution of the WNT2B antibody should be determined by the researcher.

Immunogen

Recombinant human protein (amino acids A7-T391) was used as the immunogen for the WNT2B antibody.

Storage

After reconstitution, the WNT2B antibody can be stored for up to one month at 4oC. For long-term, aliquot and store at -20oC. Avoid repeated freezing and thawing.

Cross
Bulk Quote Request Form
Name*:
Organization*:
Email*:
Phone Number*:
Catalog No.*:
Comments and Specifics(amount, formulation, etc.)*:
Validation code: Captchapackage Image


Can't read the image? click here to refresh.
    *required field

Your bulk quote request has been submitted successfully!

Please contact us if you have any questions.