• Tel: 858.663.9055
  • SeparatorEmail: info@nsjbio.com
  • Tel: 858.663.9055
  • Email: info@nsjbio.com
Home >> Antibodies >> WNT2B Antibody

WNT2B Antibody (R32298)

  Catalog No Formulation Size Price (USD)  
Image R32298 0.5mg/ml if reconstituted with 0.2ml sterile DI water 100 ug 439
Bulk quote request
Western blot testing of human 22RV1 cell lysate with WNT2B antibody. Expected/observed molecular weight ~44 kDa.
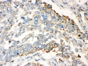
IHC testing of FFPE human lung cancer tissue with WNT2B antibody. HIER: Boil the paraffin sections in pH 6, 10mM citrate buffer for 20 minutes and allow to cool prior to staining.
IHC testing of FFPE mouse brain with WNT2B antibody. HIER: Boil the paraffin sections in pH 6, 10mM citrate buffer for 20 minutes and allow to cool prior to staining.
IHC testing of FFPE rat brain with WNT2B antibody. HIER: Boil the paraffin sections in pH 6, 10mM citrate buffer for 20 minutes and allow to cool prior to staining.
Availability 1-3 business days
Species Reactivity Human, Mouse, Rat
Format Antigen affinity purified
Clonality Polyclonal (rabbit origin)
Isotype Rabbit IgG
Purity Antigen affinity
Buffer Lyophilized from 1X PBS with 2.5% BSA and 0.025% sodium azide
UniProt Q93097
Applications Western Blot : 0.1-0.5ug/ml
IHC (FFPE) : 0.5-1ug/ml
Limitations This WNT2B antibody is available for research use only.
Review this product on BioCompare and get a $20 Amazon gift card

Related Products

  • Applications : WB
    Reactivity : Human, Mouse, Rat
  • Applications : WB, Direct ELISA
    Reactivity : Human, Mouse, Rat

Description

WNT2B (Wingless-Type MMTV Integration Site Family Member 2B), is a protein that in humans is encoded by the WNT2B gene. This gene encodes a member of the wingless-type MMTV integration site (WNT) family of highly conserved, secreted signaling factors. Katoh et al. (1996) used fluorescence in situ hybridization to map the WNT13 gene to chromosome 1p13. WNT family members function in a variety of developmental processes including regulation of cell growth and differentiation and are characterized by a WNT-core domain. This gene may play a role in human development as well as human carcinogenesis.

Application Notes

Optimal dilution of the WNT2B antibody should be determined by the researcher.

Immunogen

Amino acids QRYPDIMRSVGEGAREWIRECQHQFR of human WNT2B were used as the immunogen for the WNT2B antibody.

Storage

After reconstitution, the WNT2B antibody can be stored for up to one month at 4oC. For long-term, aliquot and store at -20oC. Avoid repeated freezing and thawing.

Cross
Bulk Quote Request Form
Name*:
Organization*:
Email*:
Phone Number*:
Catalog No.*:
Comments and Specifics(amount, formulation, etc.)*:
Validation code: Captchapackage Image


Can't read the image? click here to refresh.
    *required field

Your bulk quote request has been submitted successfully!

Please contact us if you have any questions.