• Tel: 858.663.9055
  • SeparatorEmail: info@nsjbio.com
  • Tel: 858.663.9055
  • Email: info@nsjbio.com
Home >> Antibodies >> WNT1 Antibody

WNT1 Antibody (R31885)

  Catalog No Formulation Size Price (USD)  
Image R31885 0.5mg/ml if reconstituted with 0.2ml sterile DI water 100 ug 439
Bulk quote request
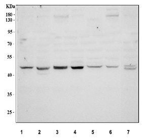
Western blot testing of 1) human Jurkat, 2) human Caco-2, 3) human HeLa, 4) human HepG2, 5) rat testis, 6) rat C6 and 7) mouse Neuro-2a cell lysate with WNT1 antibody. Predicted molecular weight ~41 kDa, but may be observed at higher molecular weights due to glycosylation.
Availability 1-3 business days
Species Reactivity Human, Mouse, Rat
Format Antigen affinity purified
Clonality Polyclonal (rabbit origin)
Isotype Rabbit IgG
Purity Antigen affinity
Buffer Lyophilized from 1X PBS with 2% Trehalose
UniProt P04628
Applications Western Blot : 0.5-1ug/ml
Limitations This WNT1 antibody is available for research use only.
Review this product on BioCompare and get a $20 Amazon gift card

Related Products

  • Applications : WB, IHC, FACS, ELISA
    Reactivity : Human, Mouse

Description

WNT1 is a secreted glycoprotein that belongs to the Wnt family of signaling molecules, which play essential roles in embryonic development, cell fate determination, and tissue homeostasis. WNT1 primarily signals through the canonical Wnt/β-catenin pathway, where it activates downstream transcriptional programs by stabilizing cytoplasmic β-catenin and promoting its translocation to the nucleus.

WNT1 is critical for neural tube formation, midbrain development, and regulation of cell proliferation and differentiation. Its expression has been studied in various developmental models as well as in adult tissues where Wnt signaling contributes to stem cell maintenance and tissue regeneration. WNT1 is also of interest in research investigating pathway dysregulation in cellular signaling networks.

The WNT1 antibody is a useful tool for detecting endogenous WNT1 in applications such as western blot, immunohistochemistry, and immunofluorescence. Researchers use the WNT1 antibody from NSJ Bioreagents to evaluate protein expression patterns, monitor pathway activation, and explore Wnt signaling regulation across cell types and conditions. With high specificity and consistent performance, the WNT1 antibody supports in-depth studies of developmental signaling and cell communication.

Application Notes

Optimal dilution of the WNT1 antibody should be determined by the researcher.

Immunogen

Amino acids NLLTDSKSLQLVLEPSLQLLSRKQRRLIRQ of human WNT1 were used as the immunogen for the WNT1 antibody.

Storage

After reconstitution, the WNT1 antibody can be stored for up to one month at 4oC. For long-term, aliquot and store at -20oC. Avoid repeated freezing and thawing.

Cross
Bulk Quote Request Form
Name*:
Organization*:
Email*:
Phone Number*:
Catalog No.*:
Comments and Specifics(amount, formulation, etc.)*:
Validation code: Captchapackage Image


Can't read the image? click here to refresh.
    *required field

Your bulk quote request has been submitted successfully!

Please contact us if you have any questions.