• Tel: 858.663.9055
  • SeparatorEmail: info@nsjbio.com
  • Tel: 858.663.9055
  • Email: info@nsjbio.com
Home >> Antibodies >> Willin Antibody / FRMD6

Willin Antibody / FRMD6 (RQ5978)

  Catalog No Formulation Size Price (USD)  
Image RQ5978 0.5mg/ml if reconstituted with 0.2ml sterile DI water 100 ug 439
Bulk quote request
Immunofluorescent staining of FFPE human A431 cells with Willin antibody (green) and DAPI nuclear stain (blue). HIER: steam section in pH6 citrate buffer for 20 min.
IHC staining of FFPE human rectal cancer with Willin antibody. HIER: boil tissue sections in pH8 EDTA for 20 min and allow to cool before testing.
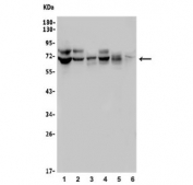
Western blot testing of human 1) HeLa, 2) PC-3, 3) PANC-1, 4) Caco-2, 5) rat PC-12 and 6) mouse Neuro-2a lysate with Willin antibody. Predicted molecular weight ~72 kDa.
Flow cytometry testing of human A431 cells with Willin antibody at 1ug/million cells (blocked with goat sera); Red=cells alone, Green=isotype control, Blue= Willin antibody.
Availability 1-3 business days
Species Reactivity Human, Mouse, Rat
Format Antigen affinity purified
Clonality Polyclonal (rabbit origin)
Isotype Rabbit IgG
Purity Affinity purified
Buffer Lyophilized from 1X PBS with 2% Trehalose and 0.025% sodium azide
UniProt Q96NE9
Localization Cell membrane, cytoplasmic
Applications Western Blot : 0.5-1ug/ml
Immunohistochemistry : 1-2ug/ml
Immunofluorescence : 2-4ug/ml
Flow Cytometry : 1-3ug/million cells
Direct ELISA : 0.1-0.5ug/ml
Limitations This Willin antibody is available for research use only.
Review this product on BioCompare and get a $20 Amazon gift card

Description

FERM domain-containing protein 6 is a protein that in humans is encoded by the FRMD6 gene. It is mapped to 14q22.1.

Application Notes

Optimal dilution of the Willin antibody should be determined by the researcher.

Immunogen

Recombinant human protein (amino acids M1-E95) was used as the immunogen for the Willin antibody.

Storage

After reconstitution, the Willin antibody can be stored for up to one month at 4oC. For long-term, aliquot and store at -20oC. Avoid repeated freezing and thawing.

Cross
Bulk Quote Request Form
Name*:
Organization*:
Email*:
Phone Number*:
Catalog No.*:
Comments and Specifics(amount, formulation, etc.)*:
Validation code: Captchapackage Image


Can't read the image? click here to refresh.
    *required field

Your bulk quote request has been submitted successfully!

Please contact us if you have any questions.