• Tel: 858.663.9055
  • SeparatorEmail: info@nsjbio.com
  • Tel: 858.663.9055
  • Email: info@nsjbio.com
Home >> Antibodies >> Wee2 Antibody

Wee2 Antibody (F43870)

  Catalog No Formulation Size Price (USD)  
Image F43870-0.4ML In 1X PBS, pH 7.4, with 0.09% sodium azide 0.4 ml 429
Image
F43870-0.08ML In 1X PBS, pH 7.4, with 0.09% sodium azide 0.08 ml 199
Bulk quote request
Wee2 antibody western blot analysis in HepG2 lysate.
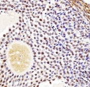
Wee2 antibody immunohistochemistry analysis in formalin fixed and paraffin embedded mouse ovarian tissue.
Availability 1-3 business days
Species Reactivity Human, Mouse
Format Antigen affinity purified
Clonality Polyclonal (rabbit origin)
Isotype Rabbit Ig
Purity Antigen affinity
UniProt Q66JT0
Applications Western Blot : 1:1000
IHC (Paraffin) : 1:10-1:50
Limitations This Wee2 antibody is available for research use only.
Review this product on BioCompare and get a $20 Amazon gift card

Description

Phosphorylates and inhibits CDK1. May act as a negative regulator of entry into mitosis (G2 to M transition).

Application Notes

Titration of the Wee2 antibody may be required due to differences in protocols and secondary/substrate sensitivity.

Immunogen

A portion of amino acids 364-393 from the mouse protein was used as the immunogen for this Wee2 antibody.

Storage

Aliquot the Wee2 antibody and store frozen at -20oC or colder. Avoid repeated freeze-thaw cycles.

Cross
Bulk Quote Request Form
Name*:
Organization*:
Email*:
Phone Number*:
Catalog No.*:
Comments and Specifics(amount, formulation, etc.)*:
Validation code: Captchapackage Image


Can't read the image? click here to refresh.
    *required field

Your bulk quote request has been submitted successfully!

Please contact us if you have any questions.