• Tel: 858.663.9055
  • SeparatorEmail: info@nsjbio.com
  • Tel: 858.663.9055
  • Email: info@nsjbio.com
Home >> Antibodies >> WDR44 Antibody / RPH11

WDR44 Antibody / RPH11 (RQ7486)

  Catalog No Formulation Size Price (USD)  
Image RQ7486 0.5mg/ml if reconstituted with 0.2ml sterile DI water 100 ug 439
Bulk quote request
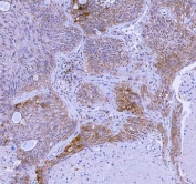
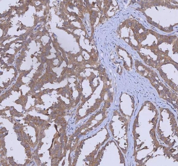
IHC staining of FFPE human ovarian cancer tissue with WDR44 antibody. HIER: boil tissue sections in pH8 EDTA for 20 min and allow to cool before testing.
IHC staining of FFPE human testis cancer tissue with WDR44 antibody. HIER: boil tissue sections in pH8 EDTA for 20 min and allow to cool before testing.
IHC staining of FFPE human breast cancer tissue with WDR44 antibody. HIER: boil tissue sections in pH8 EDTA for 20 min and allow to cool before testing.
IHC staining of FFPE human colon cancer tissue with WDR44 antibody. HIER: boil tissue sections in pH8 EDTA for 20 min and allow to cool before testing.
IHC staining of FFPE human lung cancer tissue with WDR44 antibody. HIER: boil tissue sections in pH8 EDTA for 20 min and allow to cool before testing.
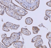
IHC staining of FFPE human placental tissue with WDR44 antibody. HIER: boil tissue sections in pH8 EDTA for 20 min and allow to cool before testing.
Western blot testing of human 1) SiHa, 2) HeLa, 3) HEL and 4) A431 cell lysate with WDR44 antibody. Predicted molecular weight ~101 kDa.
Flow cytometry testing of human SiHa cells with WDR44 antibody at 1ug/million cells (blocked with goat sera); Red=cells alone, Green=isotype control, Blue= WDR44 antibody.
Availability 1-3 business days
Species Reactivity Human
Format Antigen affinity purified
Clonality Polyclonal (rabbit origin)
Isotype Rabbit IgG
Purity Antigen affinity purified
Buffer Lyophilized from 1X PBS with 2% Trehalose
UniProt Q5JSH3
Localization Cytoplasmic
Applications Western Blot : 0.5-1ug/ml
Immunohistochemistry (FFPE) : 2-5ug/ml
Flow Cytometry : 1-3ug/million cells
Direct ELISA : 0.1-0.5ug/ml
Limitations This WDR44 antibody is available for research use only.
Review this product on BioCompare and get a $20 Amazon gift card

Description

WD repeat-containing protein 44, also called Rabphilin-11 and RPH11, is a protein that in humans is encoded by the WDR44 gene. This gene encodes a protein that interacts with the small GTPase rab11. A similar protein in rat binds the GTP-containing active form of rab11. This protein may play a role in endosome recycling. Alternate splicing results in multiple transcript variants.

Application Notes

Optimal dilution of the WDR44 antibody should be determined by the researcher.

Immunogen

E. coli-derived recombinant human protein (amino acids D188-S913) was used as the immunogen for the WDR44 antibody.

Storage

After reconstitution, the WDR44 antibody can be stored for up to one month at 4oC. For long-term, aliquot and store at -20oC. Avoid repeated freezing and thawing.

Cross
Bulk Quote Request Form
Name*:
Organization*:
Email*:
Phone Number*:
Catalog No.*:
Comments and Specifics(amount, formulation, etc.)*:
Validation code: Captchapackage Image


Can't read the image? click here to refresh.
    *required field

Your bulk quote request has been submitted successfully!

Please contact us if you have any questions.