• Tel: 858.663.9055
  • SeparatorEmail: info@nsjbio.com
  • Tel: 858.663.9055
  • Email: info@nsjbio.com
Home >> Antibodies >> WDR1 Antibody / WD repeat-containing protein 1

WDR1 Antibody / WD repeat-containing protein 1 (R32410)

  Catalog No Formulation Size Price (USD)  
Image R32410 0.5mg/ml if reconstituted with 0.2ml sterile DI water 100 ug 439
Bulk quote request
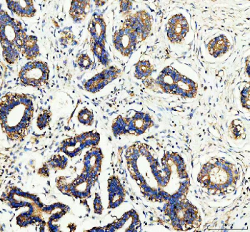
IHC staining of FFPE human breast cancer tissue with WDR1 antibody, HRP-secondary and DAB substrate. HIER: boil tissue sections in pH8 EDTA for 20 min and allow to cool before testing.
Immunofluorescent staining of FFPE human HeLa cells with WDR1 antibody (green) and DAPI nuclear stain (blue). HIER: steam section in pH6 citrate buffer for 20 min.
Western blot testing of 1) human U-251, 2) human HeLa, 3) human HEL, 4) rat small intestine, 5) mouse brain and 6) mouse small intestine tissue lysate with WDR1 antibody. Expected molecular weight ~66 kDa.
Flow cytometry testing of fixed and permeabilized human U251 cells with WDR1 antibody at 1ug/million cells (blocked with goat sera); Red=cells alone, Green=isotype control, Blue= WDR1 antibody.
Availability 1-3 business days
Species Reactivity Human, Mouse, Rat
Format Antigen affinity purified
Clonality Polyclonal (rabbit origin)
Isotype Rabbit IgG
Purity Antigen affinity
Buffer Lyophilized from 1X PBS with 2% Trehalose
UniProt O75083
Localization Cytoplasm, cell junctions
Applications Western Blot : 0.5-1ug/ml
Immunohistochemistry (FFPE) : 2-5ug/ml
Immunofluorescence : 5ug/ml
Flow Cytometry : 1-3ug/million cells
Limitations This WDR1 antibody is available for research use only.
Review this product on BioCompare and get a $20 Amazon gift card

Related Products

Description

WDR1 (WD repeat-containing protein 1) is an actin-regulatory protein that plays a crucial role in cytoskeletal organization and cell motility. It belongs to the WD repeat protein family, characterized by conserved WD domains that mediate protein-protein interactions. WDR1 works in concert with cofilin to enhance actin filament severing and depolymerization, ensuring efficient turnover of actin filaments. A WDR1 antibody is widely used in studies focused on cytoskeletal regulation, immune function, and cellular migration.

By facilitating actin filament disassembly, WDR1 contributes to dynamic cytoskeletal rearrangements that underlie critical processes such as endocytosis, exocytosis, and cell shape changes. It has been implicated in immune cell function, particularly in the regulation of neutrophil and platelet activity. Studies employing a WDR1 antibody have demonstrated its importance in leukocyte migration and inflammatory responses, highlighting its essential role in innate immunity.

Mutations in WDR1 have been linked to autoinflammatory syndromes and platelet dysfunction, underscoring its clinical significance. In addition to immune-related functions, WDR1 has been associated with developmental processes and tissue remodeling. Its expression in a broad range of tissues further supports its role as a key cytoskeletal regulator. Using a WDR1 antibody enables researchers to investigate actin-dependent processes and explore disease mechanisms tied to WDR1 dysregulation.

NSJ Bioreagents offers a high-quality WDR1 antibody validated for applications such as western blot, immunohistochemistry, and immunofluorescence. Choosing a WDR1 antibody from NSJ Bioreagents ensures accurate detection and reproducibility in studies of actin dynamics, immune regulation, and disease biology.

Application Notes

Optimal dilution of the WDR1 antibody should be determined by the researcher.

Immunogen

Amino acids MDMMVYVWTLSDPETRVKIQDAHRLHHV of the human protein were used as the immunogen for the WDR1 antibody.

Storage

After reconstitution, the WDR1 antibody can be stored for up to one month at 4oC. For long-term, aliquot and store at -20oC. Avoid repeated freezing and thawing.

Cross
Bulk Quote Request Form
Name*:
Organization*:
Email*:
Phone Number*:
Catalog No.*:
Comments and Specifics(amount, formulation, etc.)*:
Validation code: Captchapackage Image


Can't read the image? click here to refresh.
    *required field

Your bulk quote request has been submitted successfully!

Please contact us if you have any questions.