• Tel: 858.663.9055
  • SeparatorEmail: info@nsjbio.com
  • Tel: 858.663.9055
  • Email: info@nsjbio.com
Home >> Antibodies >> WDR1 Antibody / WD repeat-containing protein 1

WDR1 Antibody / WD repeat-containing protein 1 [clone 29W47] (RQ8669)

  Catalog No Formulation Size Price (USD)  
Image RQ8669 Antibody in PBS with 0.02% sodium azide, 50% glycerol and 0.4-0.5mg/ml BSA 100 ul 439
Microvalidated Recrabbitmono
Bulk quote request
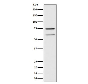
Western blot testing of human Raji cell lysate with WDR1 antibody. Predicted molecular weight: ~66 kDa and ~51 kDa (two isoforms).
Availability 1-3 days
Species Reactivity Human
Format Purified
Clonality Recombinant Rabbit Monoclonal
Isotype Rabbit IgG
Clone Name 29W47
Purity Affinity chromatography
UniProt O75083
Applications Western Blot : 1:500-1:2000
Limitations This WDR1 antibody is available for research use only.
Review this product on BioCompare and get a $20 Amazon gift card

Related Products

Description

WD repeat-containing protein 1 is involved in assembly and maintenance of epithelial apical cell junctions and plays a role in the organization of the perijunctional actomyosin belt. [UniProt]

Application Notes

Optimal dilution of the WDR1 antibody should be determined by the researcher.

Immunogen

A synthetic peptide specific to human WDR1 protein was used as the immunogen for the WDR1 Antibody.

Storage

Store the WDR1 antibody at -20oC.

Cross
Bulk Quote Request Form
Name*:
Organization*:
Email*:
Phone Number*:
Catalog No.*:
Comments and Specifics(amount, formulation, etc.)*:
Validation code: Captchapackage Image


Can't read the image? click here to refresh.
    *required field

Your bulk quote request has been submitted successfully!

Please contact us if you have any questions.