• Tel: 858.663.9055
  • SeparatorEmail: info@nsjbio.com
  • Tel: 858.663.9055
  • Email: info@nsjbio.com
Home >> Antibodies >> WD repeat-containing protein 1 Antibody / WDR1

WD repeat-containing protein 1 Antibody / WDR1 [clone 5C11C8] (RQ7133)

  Catalog No Formulation Size Price (USD)  
Image RQ7133 0.5mg/ml if reconstituted with 0.2ml sterile DI water 100 ug 439
Bulk quote request
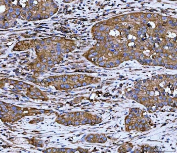
IHC staining of FFPE human colorectal adenocarcinoma tissue with WD repeat-containing protein 1 antibody. HIER: boil tissue sections in pH8 EDTA for 20 min and allow to cool before testing.
IHC staining of FFPE human liver cancer tissue with WD repeat-containing protein 1 antibody. HIER: boil tissue sections in pH8 EDTA for 20 min and allow to cool before testing.
Western blot testing of 1) human U-87 MG, 2) human A549, 3) mouse lung and 4) mouse liver tissue lysate with WD repeat-containing protein 1 antibody. Expected molecular weight ~66 kDa.
Western blot testing of 1) human U-251, 2) human HeLa, 3) human HEL, 4) human RT-4, 5) rat brain, 6) mouse brain and 7) mouse intestine tissue lysate with WD repeat-containing protein 1 antibody. Expected molecular weight ~66 kDa.
Availability 1-3 business days
Species Reactivity Human, Mouse, Rat
Format Antigen affinity purified
Clonality Monoclonal (mouse origin)
Isotype Mouse IgG2b
Clone Name 5C11C8
Purity Antigen affinity purified
Buffer Lyophilized from 1X PBS with 2% Trehalose
UniProt O75083
Localization Cytoplasmic
Applications Western Blot : 0.5-1ug/ml
Immunohistochemistry (FFPE) : 2-5ug/ml
Limitations This WD repeat-containing protein 1 antibody is available for research use only.
Review this product on BioCompare and get a $20 Amazon gift card

Related Products

Description

WD repeat-containing protein 1 is a protein that in humans is encoded by the WDR1 gene. It is mapped to 4p16.1. This gene encodes a protein containing 9 WD repeats. WD repeats are approximately 30- to 40-amino acid domains containing several conserved residues, mostly including a trp-asp at the C-terminal end. WD domains are involved in protein-protein interactions. The encoded protein may help induce the disassembly of actin filaments. Two transcript variants encoding different isoforms have been found for this gene.

Application Notes

Optimal dilution of the WD repeat-containing protein 1 antibody should be determined by the researcher.

Immunogen

C-terminal amino acids MDMMVYVWTLSDPETRVKIQDAHRLHHV were used as the immunogen for the WD repeat-containing protein 1 antibody.

Storage

After reconstitution, the WD repeat-containing protein 1 antibody can be stored for up to one month at 4oC. For long-term, aliquot and store at -20oC. Avoid repeated freezing and thawing.

Cross
Bulk Quote Request Form
Name*:
Organization*:
Email*:
Phone Number*:
Catalog No.*:
Comments and Specifics(amount, formulation, etc.)*:
Validation code: Captchapackage Image


Can't read the image? click here to refresh.
    *required field

Your bulk quote request has been submitted successfully!

Please contact us if you have any questions.