• Tel: 858.663.9055
  • SeparatorEmail: info@nsjbio.com
  • Tel: 858.663.9055
  • Email: info@nsjbio.com
Home >> Antibodies >> VWF Antibody

VWF Antibody (R31491)

  Catalog No Formulation Size Price (USD)  
Image R31491 0.5mg/ml if reconstituted with 0.2ml sterile DI water 100 ug 439
Bulk quote request
Western blot testing of VWF antibody and human HT1080 lysate. Predicted molecular weight ~309 kDa.
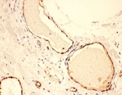
IHC-P: VWF antibody testing of human lung cancer tissue. HIER: steam section in pH6 citrate buffer for 20 min and allow to cool prior to testing.
IHC testing of frozen human placental tissue with VWF antibody.
Flow cytometry testing of human A431 cells with VWF antibody at 1ug/million cells (blocked with goat sera); Red=cells alone, Green=isotype control, Blue= VWF antibody.
Availability 1-3 business days
Species Reactivity Human
Format Antigen affinity purified
Clonality Polyclonal (rabbit origin)
Isotype Rabbit IgG
Purity Antigen affinity
Buffer Lyophilized from 1X PBS with 2.5% BSA, 0.025% sodium azide
Gene ID 7450
Localization Cytoplasmic
Applications Western Blot : 0.5-1ug/ml
IHC (FFPE) : 0.5-1ug/ml
IHC (Frozen) : 0.5-1ug/ml
Flow Cytometry : 1-3ug/million cells
Limitations This VWF antibody is available for research use only.
Review this product on BioCompare and get a $20 Amazon gift card

Related Products

Description

Von Willebrand factor (VWF) is a blood glycoprotein involved in hemostasis. It is mapped to 12p13.31. The gene encodes a large multimeric glycoprotein that plays a central role in the blood coagulation system, serving both as a major mediator of platelet-vessel wall interaction and platelet adhesion, and as a carrier for coagulation factor VIII. VWF released from endothelial cell Weibel-Palade bodies bound particularly avidly to the extracellular matrix. VWF deficiency or dysfunction (von Willebrand disease) leads to a bleeding tendency, which is most apparent in tissues having high blood flow shear in narrow vessels.

Application Notes

The stated application concentrations are suggested starting amounts. Titration of the VWF antibody may be required due to differences in protocols and secondary/substrate sensitivity.

Immunogen

Human partial recombinant protein (AA 2535-2813) was used as the immunogen for this VWF antibody.

Storage

After reconstitution, the VWF antibody can be stored for up to one month at 4oC. For long-term, aliquot and store at -20oC. Avoid repeated freezing and thawing.

Cross
Bulk Quote Request Form
Name*:
Organization*:
Email*:
Phone Number*:
Catalog No.*:
Comments and Specifics(amount, formulation, etc.)*:
Validation code: Captchapackage Image


Can't read the image? click here to refresh.
    *required field

Your bulk quote request has been submitted successfully!

Please contact us if you have any questions.