• Tel: 858.663.9055
  • SeparatorEmail: info@nsjbio.com
  • Tel: 858.663.9055
  • Email: info@nsjbio.com
Home >> Antibodies >> VPS53 Antibody

VPS53 Antibody (RQ7376)

  Catalog No Formulation Size Price (USD)  
Image RQ7376 0.5mg/ml if reconstituted with 0.2ml sterile DI water 100 ug 439
Bulk quote request
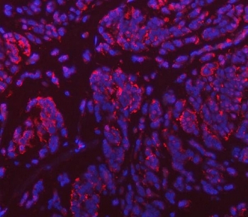
Immunofluorescent staining of FFPE human breast cancer tissue with VPS53 antibody (red) and DAPI nuclear stain (blue). HIER: steam section in pH8 EDTA buffer for 20 min.
Immunofluorescent staining of FFPE human A549 cells with VPS53 antibody (green) and DAPI nuclear stain (blue). HIER: steam section in pH6 citrate buffer for 20 min.
IHC staining of FFPE human lung adenocarcinoma tissue with VPS53 antibody. HIER: boil tissue sections in pH8 EDTA for 20 min and allow to cool before testing.
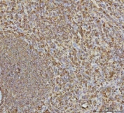
IHC staining of FFPE human spleen tissue with VPS53 antibody. HIER: boil tissue sections in pH8 EDTA for 20 min and allow to cool before testing.
IHC staining of FFPE mouse brain tissue with VPS53 antibody. HIER: boil tissue sections in pH8 EDTA for 20 min and allow to cool before testing.
IHC staining of FFPE rat brain tissue with VPS53 antibody. HIER: boil tissue sections in pH8 EDTA for 20 min and allow to cool before testing.
Western blot testing of human 1) 293T, 2) HepG2, 3) MCF7 and 4) HeLa cell lysate with VPS53 antibody. Predicted molecular weight ~94 kDa.
Flow cytometry testing of human U-87 MG cells with VPS53 antibody at 1ug/million cells (blocked with goat sera); Red=cells alone, Green=isotype control, Blue= VPS53 antibody.
Availability 1-3 business days
Species Reactivity Human, Mouse, Rat
Format Antigen affinity purified
Clonality Polyclonal (rabbit origin)
Isotype Rabbit IgG
Purity Antigen affinity purified
Buffer Lyophilized from 1X PBS with 2% Trehalose
UniProt Q5VIR6
Localization Cytoplasmic
Applications Western Blot : 0.5-1ug/ml
Immunohistochemistry (FFPE) : 2-5ug/ml
Immunofluorescence : 5ug/ml
Flow Cytometry : 1-3ug/million cells
Direct ELISA : 0.1-0.5ug/ml
Limitations This VPS53 antibody is available for research use only.
Review this product on BioCompare and get a $20 Amazon gift card

Related Products

  • Applications : FACS, IHC-P, WB
    Reactivity : Human, Mouse
  • Applications : IHC-P
    Reactivity : Zebrafish

Description

Vacuolar protein sorting 53 homolog (S. cerevisiae) is a protein that in humans is encoded by the VPS53 gene. This gene encodes a protein with sequence similarity to the yeast Vps53p protein. Vps53p is involved in retrograde vesicle trafficking in late Golgi.

Application Notes

Optimal dilution of the VPS53 antibody should be determined by the researcher.

Immunogen

Recombinant human protein (amino acids E11-T699) was used as the immunogen for the VPS53 antibody.

Storage

After reconstitution, the VPS53 antibody can be stored for up to one month at 4oC. For long-term, aliquot and store at -20oC. Avoid repeated freezing and thawing.

Cross
Bulk Quote Request Form
Name*:
Organization*:
Email*:
Phone Number*:
Catalog No.*:
Comments and Specifics(amount, formulation, etc.)*:
Validation code: Captchapackage Image


Can't read the image? click here to refresh.
    *required field

Your bulk quote request has been submitted successfully!

Please contact us if you have any questions.