• Tel: 858.663.9055
  • SeparatorEmail: info@nsjbio.com
  • Tel: 858.663.9055
  • Email: info@nsjbio.com
Home >> Antibodies >> VPS4A Antibody

VPS4A Antibody (RQ6019)

  Catalog No Formulation Size Price (USD)  
Image RQ6019 0.5mg/ml if reconstituted with 0.2ml sterile DI water 100 ug 439
Bulk quote request
IHC staining of FFPE human lung cancer with VPS4A antibody. HIER: boil tissue sections in pH8 EDTA for 20 min and allow to cool before testing.
IHC staining of FFPE human breast cancer with VPS4A antibody. HIER: boil tissue sections in pH8 EDTA for 20 min and allow to cool before testing.
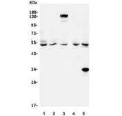
Western blot testing of human 1) K562, 2) Raji, 3) HEK293, 4) rat brain and 5) mouse testis lysate with VPS4A antibody. Predicted molecular weight ~49 kDa.
Flow cytometry testing of human A431 cells with VPS4A antibody at 1ug/million cells (blocked with goat sera); Red=cells alone, Green=isotype control, Blue= VPS4A antibody.
Availability 1-3 business days
Species Reactivity Human, Mouse, Rat
Format Antigen affinity purified
Clonality Polyclonal (rabbit origin)
Isotype Rabbit IgG
Purity Affinity purified
Buffer Lyophilized from 1X PBS with 2% Trehalose and 0.025% sodium azide
UniProt Q9UN37
Localization Cytoplasmic
Applications Western Blot : 0.5-1ug/ml
Immunohistochemistry : 1-2ug/ml
Flow Cytometry : 1-3ug/million cells
Direct ELISA : 0.1-0.5ug/ml
Limitations This VPS4A antibody is available for research use only.
Review this product on BioCompare and get a $20 Amazon gift card

Description

Vacuolar protein sorting-associated protein 4A is a protein that in humans is encoded by the VPS4A gene. It is mapped to 16q22.1. The protein encoded by this gene is a member of the AAA protein family (ATPases associated with diverse cellular activities), and is the homolog of the yeast Vps4 protein. In humans, two paralogs of the yeast protein have been identified. The former share a high degree of aa sequence similarity with each other, and also with yeast Vps4 and mouse Skd1 proteins. The mouse Skd1 (suppressor of K+ transport defect 1) has been shown to be really an yeast Vps4 ortholog. Functional studies indicate that both human paralogs associate with the endosomal compartments, and are involved in intracellular protein trafficking, similar to Vps4 protein in yeast. The gene encoding this paralog has been mapped to chromosome 16; the gene for the other resides on chromosome 18.

Application Notes

Optimal dilution of the VPS4A antibody should be determined by the researcher.

Immunogen

Recombinant human protein (amino acids M1-K71) was used as the immunogen for the VPS4A antibody.

Storage

After reconstitution, the VPS4A antibody can be stored for up to one month at 4oC. For long-term, aliquot and store at -20oC. Avoid repeated freezing and thawing.

Cross
Bulk Quote Request Form
Name*:
Organization*:
Email*:
Phone Number*:
Catalog No.*:
Comments and Specifics(amount, formulation, etc.)*:
Validation code: Captchapackage Image


Can't read the image? click here to refresh.
    *required field

Your bulk quote request has been submitted successfully!

Please contact us if you have any questions.