• Tel: 858.663.9055
  • SeparatorEmail: info@nsjbio.com
  • Tel: 858.663.9055
  • Email: info@nsjbio.com
Home >> Antibodies >> VMAT1 Antibody / SLC18A1

VMAT1 Antibody / SLC18A1 (RQ6073)

  Catalog No Formulation Size Price (USD)  
Image RQ6073 0.5mg/ml if reconstituted with 0.2ml sterile DI water 100 ug 439
Bulk quote request
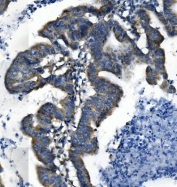
IHC staining of FFPE human pancreatic cancer with VMAT1 antibody. HIER: boil tissue sections in pH8 EDTA for 20 min and allow to cool before testing.
IHC staining of FFPE human rectal cancer with VMAT1 antibody. HIER: boil tissue sections in pH8 EDTA for 20 min and allow to cool before testing.
Western blot testing of human 1) HeLa, 2) A549, 3) U-87 MG, 4) A431, 5) HL60 and 6) K562 cell lysate with VMAT1 antibody. Predicted molecular weight ~56 kDa.
Flow cytometry testing of human HL60 cells with VMAT1 antibody at 1ug/million cells (blocked with goat sera); Red=cells alone, Green=isotype control, Blue= VMAT1 antibody.
Availability 1-3 business days
Species Reactivity Human
Format Antigen affinity purified
Clonality Polyclonal (rabbit origin)
Isotype Rabbit IgG
Purity Affinity purified
Buffer Lyophilized from 1X PBS with 2% Trehalose and 0.025% sodium azide
UniProt P54219
Localization Cytoplasmic
Applications Western Blot : 0.5-1ug/ml
Immunohistochemistry : 1-2ug/ml
Flow Cytometry : 1-3ug/million cells
Direct ELISA : 0.1-0.5ug/ml
Limitations This VMAT1 antibody is available for research use only.
Review this product on BioCompare and get a $20 Amazon gift card

Description

The VMAT1 antibody / SLC18A1 antibody detects Vesicular monoamine transporter 1, a member of the solute carrier family responsible for transporting monoamines into secretory vesicles. The UniProt recommended name is Vesicular monoamine transporter 1. VMAT1 is encoded by the SLC18A1 gene located on chromosome 8p21.3, and it belongs to the solute carrier family 18 (SLC18), which includes VMAT1, VMAT2, and the vesicular acetylcholine transporter. VMAT1 is an integral membrane protein localized predominantly to secretory vesicles, chromaffin granules, enteroendocrine cell vesicles, and neuroendocrine compartments, where it mediates proton gradient-driven accumulation of biogenic amines such as serotonin, dopamine, histamine, and trace amines.

VMAT1 contains 12 predicted transmembrane helices characteristic of the major facilitator superfamily. These helices form the transport channel that couples vesicular proton gradients to monoamine uptake. VMAT1 also includes luminal loops that participate in trafficking and membrane insertion. Its cytoplasmic regions contain regulatory motifs involved in phosphorylation, transport efficiency, and vesicle targeting. VMAT1 is localized to acidic intracellular vesicles, including large dense-core granules, and participates in regulated secretion of monoamines and peptide hormones. Within these vesicles, VMAT1 supports neurotransmitter packaging, vesicle maturation, and stimulus-dependent release of bioactive small molecules.

Expression of VMAT1 is enriched in neuroendocrine tissues, including adrenal chromaffin cells, gastrointestinal enterochromaffin cells, pancreatic endocrine compartments, and certain immune-modulatory endocrine lineages. During development, VMAT1 expression appears as endocrine cells differentiate, supporting monoamine-dependent signaling that participates in hormone secretion, gut motility, and stress responses. In some tissues, VMAT1 expression overlaps or complements VMAT2, the neuronal variant, but with distinct functional roles. VMAT1 contributes to serotonin loading in enteroendocrine cells, histamine storage in mast cell-related systems, and dopamine packaging in specialized endocrine vesicles. Its cell-type-specific expression provides a molecular signature for neuroendocrine identity, vesicular storage capacity, and monoamine-dependent signaling pathways.

Functionally, VMAT1 operates as a proton-antiport transporter that uses the vesicular H+ electrochemical gradient to concentrate monoamines within vesicles. This process is essential for protecting cytosolic space from oxidative monoamine intermediates, maintaining vesicle stability, and ensuring proper release of signaling molecules. VMAT1 also indirectly modulates enzymatic pathways associated with catecholamine and indoleamine metabolism by controlling substrate availability. Dysregulation of VMAT1 affects vesicle loading efficiency and influences systemic physiological responses including gastrointestinal motility, stress adaptation, hormone secretion, and inflammatory modulation.

Altered VMAT1 expression or activity has been implicated in various disorders. Genetic variants in SLC18A1 have been associated with neuropsychiatric traits, altered serotonin regulation, and stress sensitivity. In oncology, VMAT1 expression is used as a marker in neuroendocrine tumors, gastrointestinal neuroendocrine neoplasms, pheochromocytomas, and paragangliomas. VMAT1 contributes to the secretory phenotype of these tumors and is often evaluated alongside chromogranins, synaptophysin, or other vesicle-associated proteins. In gastric and intestinal tissues, VMAT1 influences enteroendocrine cell function, potentially shaping hormone release and the metabolic interface between diet, microbiota, and immune responses.

VMAT1 participates in vesicular trafficking pathways that involve adaptor protein complexes and cytoskeletal anchoring. It interacts functionally with proton pumps, vesicular ATPases, monoamine biosynthesis enzymes, and scaffolding proteins that coordinate vesicle maturation. VMAT1 expression also highlights populations of cells capable of monoamine-based communication, making it useful for mapping endocrine circuits, tracing vesicular transport mechanisms, and analyzing monoamine signaling in developmental or pathological contexts. At the subcellular level, VMAT1 colocalizes with large dense-core vesicle markers, secretory granule proteins, and peptide hormones, enabling broad insight into regulated secretion pathways.

The VMAT1 antibody / SLC18A1 antibody can be used in immunohistochemistry, western blot, or other research assays to examine VMAT1 expression, vesicle organization, endocrine differentiation, or monoamine-associated signaling. These general applications support studies centered on neuroendocrine biology, gastrointestinal physiology, vesicular trafficking, and monoaminergic regulation. NSJ Bioreagents provides the VMAT1 antibody / SLC18A1 antibody for research use in investigations involving vesicular transport, endocrine cell identity, and monoamine storage.

Application Notes

Optimal dilution of the VMAT1 antibody should be determined by the researcher.

Immunogen

Recombinant human protein (amino acids M1-E510) was used as the immunogen for the VMAT1 antibody.

Storage

After reconstitution, the VMAT1 antibody can be stored for up to one month at 4oC. For long-term, aliquot and store at -20oC. Avoid repeated freezing and thawing.

Cross
Bulk Quote Request Form
Name*:
Organization*:
Email*:
Phone Number*:
Catalog No.*:
Comments and Specifics(amount, formulation, etc.)*:
Validation code: Captchapackage Image


Can't read the image? click here to refresh.
    *required field

Your bulk quote request has been submitted successfully!

Please contact us if you have any questions.