• Tel: 858.663.9055
  • SeparatorEmail: info@nsjbio.com
  • Tel: 858.663.9055
  • Email: info@nsjbio.com
Home >> Antibodies >> Vitronectin Antibody / VTN

Vitronectin Antibody / VTN (R31877)

  Catalog No Formulation Size Price (USD)  
Image R31877 0.5mg/ml if reconstituted with 0.2ml sterile DI water 100 ug 439
Bulk quote request
Western blot testing of 1) rat liver, 2) rat lung, 3) human HepG2, 4) HeLa and 5) mouse HEPA1-6 lysate with Vitronectin antibody. Expected molecular weight: 54-75 kDa depending on glycosylation level.
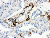
IHC testing of FFPE human lung cancer tissue with Vitronectin antibody. HIER: Boil the paraffin sections in pH 6, 10mM citrate buffer for 20 minutes and allow to cool prior to staining.
Availability 1-3 business days
Species Reactivity Human, Mouse, Rat
Format Antigen affinity purified
Clonality Polyclonal (rabbit origin)
Isotype Rabbit IgG
Purity Antigen affinity
Buffer Lyophilized from 1X PBS with 2.5% BSA and 0.025% sodium azide
UniProt P04004
Localization Cytoplasmic, membrane
Applications Western Blot : 0.1-0.5ug/ml
IHC (FFPE) : 0.5-1ug/ml
Limitations This Vitronectin antibody is available for research use only.
Review this product on BioCompare and get a $20 Amazon gift card

Related Products

Description

Vitronectin, also known as VTN, is a protein that in humans is encoded by the VTN gene. The protein encoded by this gene is a member of the pexin family. It is found in serum and tissues and promotes cell adhesion and spreading, inhibits the membrane-damaging effect of the terminal cytolytic complement pathway, and binds to several serpin serine protease inhibitors. It is a secreted protein and exists in either a single chain form or a clipped, two chain form held together by a disulfide bond. Also vitronectin serves to regulate proteolysis initiated by plasminogen activation. In addition, vitronectin is a component of platelets and is, thus, involved in hemostasis.

Application Notes

Optimal dilution of the Vitronectin antibody should be determined by the researcher.

Immunogen

Amino acids RVNLRTRRVDTVDPPYPRSIAQYWLGC of human Vitronectin were used as the immunogen for the Vitronectin antibody.

Storage

After reconstitution, the Vitronectin antibody can be stored for up to one month at 4oC. For long-term, aliquot and store at -20oC. Avoid repeated freezing and thawing.

Cross
Bulk Quote Request Form
Name*:
Organization*:
Email*:
Phone Number*:
Catalog No.*:
Comments and Specifics(amount, formulation, etc.)*:
Validation code: Captchapackage Image


Can't read the image? click here to refresh.
    *required field

Your bulk quote request has been submitted successfully!

Please contact us if you have any questions.