• Tel: 858.663.9055
  • SeparatorEmail: info@nsjbio.com
  • Tel: 858.663.9055
  • Email: info@nsjbio.com
Home >> Antibodies >> Vitronectin Antibody / VTN

Vitronectin Antibody / VTN (F54930)

  Catalog No Formulation Size Price (USD)  
Image F54930-0.4ML In 1X PBS, pH 7.4, with 0.09% sodium azide 0.4 ml 429
Image
F54930-0.08ML In 1X PBS, pH 7.4, with 0.09% sodium azide 0.08 ml 199
Bulk quote request
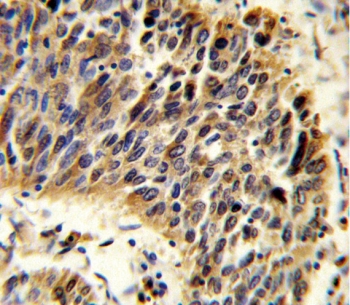
IHC testing of FFPE human lung carcinoma tissue with Vitronectin antibody. HIER: steam section in pH6 citrate buffer for 20 min and allow to cool prior to staining.
Western blot testing of human Caco-2 cell lysate with Vitronectin antibody. Expected molecular weight: 54-75 kDa depending on glycosylation level.
Western blot testing of human plasma lysate with Vitronectin antibody. Expected molecular weight: 54-75 kDa depending on glycosylation level.
Flow cytometry testing of fixed and permeabilized human MCF7 cells with Vitronectin antibody; Blue=isotype control, Green= Vitronectin antibody.
Availability 1-3 business days
Species Reactivity Human
Format Purified
Clonality Polyclonal (rabbit origin)
Isotype Rabbit IgG
Purity Antigen affinity purified
UniProt P04004
Localization Cytoplasmic, membrane
Applications Immunohistochemistry (FFPE) : 1:10-1:50
Western Blot : 1:1000-1:2000
Flow Cytometry : 1:25 (1x10e6 cells)
Limitations This Vitronectin antibody is available for research use only.
Review this product on BioCompare and get a $20 Amazon gift card

Related Products

Description

Vitronectin is a member of the pexin family. This protein is found in serum and tissues and promotes cell adhesion and spreading, inhibits the membrane-damaging effect of the terminal cytolytic complement pathway, and binds to several serpin serine protease inhibitors. The protein is a secreted protein and exists in either a single chain form or a clipped, two chain form held together by a disulfide bond.

Application Notes

The stated application concentrations are suggested starting points. Titration of the Vitronectin antibody may be required due to differences in protocols and secondary/substrate sensitivity.

Immunogen

A portion of amino acids 65-93 from the human protein was used as the immunogen for the Vitronectin antibody.

Storage

Aliquot the Vitronectin antibody and store frozen at -20oC or colder. Avoid repeated freeze-thaw cycles.

Cross
Bulk Quote Request Form
Name*:
Organization*:
Email*:
Phone Number*:
Catalog No.*:
Comments and Specifics(amount, formulation, etc.)*:
Validation code: Captchapackage Image


Can't read the image? click here to refresh.
    *required field

Your bulk quote request has been submitted successfully!

Please contact us if you have any questions.