• Tel: 858.663.9055
  • SeparatorEmail: info@nsjbio.com
  • Tel: 858.663.9055
  • Email: info@nsjbio.com
Home >> Antibodies >> Visfatin Antibody

Visfatin Antibody (R32446)

  Catalog No Formulation Size Price (USD)  
Image R32446 0.5mg/ml if reconstituted with 0.2ml sterile DI water 100 ug 439
Bulk quote request
Western blot testing of 1) rat brain, 2) mouse heart and 3) human placenta lysate with Visfatin antibody at 0.5ug/ml. Expected molecular weight ~56 kDa.
IHC testing of FFPE human breast cancer tissue with Visfatin antibody at 1ug/ml. HIER: steam in pH6 citrate buffer and allow to cool prior to staining.
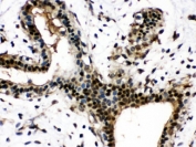
IHC testing of FFPE mouse intestine with Visfatin antibody at 1ug/ml. HIER: steam in pH6 citrate buffer and allow to cool prior to staining.
IHC testing of FFPE rat intestine with Visfatin antibody at 1ug/ml. HIER: steam in pH6 citrate buffer and allow to cool prior to staining.
Availability 1-3 business days
Species Reactivity Human, Mouse, Rat
Format Antigen affinity purified
Clonality Polyclonal (rabbit origin)
Isotype Rabbit IgG
Purity Antigen affinity
Buffer Lyophilized from 1X PBS with 2.5% BSA and 0.025% sodium azide
UniProt P43490
Localization Predominantly cytoplasmic, some nuclear staining may also be seen
Applications Western Blot : 0.5-1ug/ml
IHC (FFPE) : 1-2ug/ml
ELISA : 0.1-0.5ug/ml (human protein tested); request BSA-free format for coating
Limitations This Visfatin antibody is available for research use only.
Review this product on BioCompare and get a $20 Amazon gift card

Related Products

Description

Nicotinamide phosphoribosyltransferase (NAmPRTase or Nampt), also known as pre-B-cell colony-enhancing factor 1 (PBEF1) or visfatin, is an enzyme that in humans is encoded by the PBEF1 gene. This gene encodes a protein that catalyzes the condensation of nicotinamide with 5-phosphoribosyl-1-pyrophosphate to yield nicotinamide mononucleotide, one step in the biosynthesis of nicotinamide adenine dinucleotide. The protein belongs to the nicotinic acid phosphoribosyltransferase (NAPRTase) family and is thought to be involved in many important biological processes, including metabolism, stress response and aging. This gene has a pseudogene on chromosome 10.

Application Notes

Optimal dilution of the Visfatin antibody should be determined by the researcher.

Immunogen

Amino acids L62-N337 were used as the immunogen for the Visfatin antibody.

Storage

Prior to reconstitution, store at 4oC. After reconstitution, the Visfatin antibody can be stored for up to one month at 4oC. For long-term, aliquot and store at -20oC. Avoid repeated freezing and thawing.

Cross
Bulk Quote Request Form
Name*:
Organization*:
Email*:
Phone Number*:
Catalog No.*:
Comments and Specifics(amount, formulation, etc.)*:
Validation code: Captchapackage Image


Can't read the image? click here to refresh.
    *required field

Your bulk quote request has been submitted successfully!

Please contact us if you have any questions.