• Tel: 858.663.9055
  • SeparatorEmail: info@nsjbio.com
  • Tel: 858.663.9055
  • Email: info@nsjbio.com
Home >> Antibodies >> VIP Antibody / PHM-27

VIP Antibody / PHM-27 (R32397)

  Catalog No Formulation Size Price (USD)  
Image R32397 0.5mg/ml if reconstituted with 0.2ml sterile DI water 100 ug 439
Bulk quote request
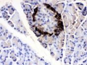
IHC testing of FFPE human pancreas with VIP antibody. HIER: Boil the paraffin sections in pH 6, 10mM citrate buffer for 20 minutes and allow to cool prior to testing.
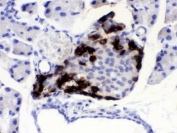
IHC testing of FFPE mouse pancreas with VIP antibody. HIER: Boil the paraffin sections in pH 6, 10mM citrate buffer for 20 minutes and allow to cool prior to testing.
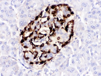
IHC testing of FFPE rat pancreas with VIP antibody. HIER: Boil the paraffin sections in pH 6, 10mM citrate buffer for 20 minutes and allow to cool prior to testing.
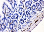
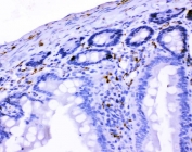
IHC testing of FFPE mouse intestinal tissue with VIP antibody. HIER: Boil the paraffin sections in pH8 EDTA buffer for 20 minutes and allow to cool prior to testing.
IHC testing of FFPE rat intestinal tissue with VIP antibody. HIER: Boil the paraffin sections in pH8 EDTA buffer for 20 minutes and allow to cool prior to testing.
Immunofluorescent staining of FFPE rat colon tissue with VIP antibody (red) and DAPI nuclear stain (blue). HIER: Boil the paraffin sections in pH8 EDTA buffer for 20 minutes and allow to cool prior to testing.
Availability 1-3 business days
Species Reactivity Human, Mouse, Rat
Format Antigen affinity purified
Clonality Polyclonal (rabbit origin)
Isotype Rabbit IgG
Purity Antigen affinity
Buffer Lyophilized from 1X PBS with 2.5% BSA and 0.025% sodium azide
UniProt P01282
Localization Cytoplasmic
Applications Immunohistochemistry (FFPE) : 0.5-1ug/ml
Immunofluorescence : 5ug/ml
Limitations This VIP antibody is available for research use only.
Review this product on BioCompare and get a $20 Amazon gift card

Related Products

  • Applications : IHC, FACS, WB, ELISA
    Reactivity : Human

Description

Vasoactive intestinal peptide, also known as PHM27 or VIP, is a peptide hormone containing 28 amino acid residues. This gene is mapped to 6q25. The protein encoded by this gene belongs to the glucagon family. It stimulates myocardial contractility, causes vasodilation, increases glycogenolysis, lowers arterial blood pressure and relaxes the smooth muscle of trachea, stomach and gall bladder. The protein also acts as an antimicrobial peptide with antibacterial and antifungal activity. Alternative splicing occurs at this locus and two transcript variants encoding distinct isoforms have been identified.

Application Notes

Optimal dilution of the VIP antibody should be determined by the researcher.

Immunogen

Amino acids HADGVFTSDFSKLLGQLSAKKYLESLM (PHM-27 sequence) from the human protein were used as the immunogen for the VIP antibody.

Storage

After reconstitution, the VIP antibody can be stored for up to one month at 4oC. For long-term, aliquot and store at -20oC. Avoid repeated freezing and thawing.

Cross
Bulk Quote Request Form
Name*:
Organization*:
Email*:
Phone Number*:
Catalog No.*:
Comments and Specifics(amount, formulation, etc.)*:
Validation code: Captchapackage Image


Can't read the image? click here to refresh.
    *required field

Your bulk quote request has been submitted successfully!

Please contact us if you have any questions.