• Tel: 858.663.9055
  • SeparatorEmail: info@nsjbio.com
  • Tel: 858.663.9055
  • Email: info@nsjbio.com
Home >> Antibodies >> VIP Antibody

VIP Antibody (F49685)

  Catalog No Formulation Size Price (USD)  
Image F49685-0.4ML In 1X PBS, pH 7.4, with 0.09% sodium azide 0.4 ml 429
Image
F49685-0.08ML In 1X PBS, pH 7.4, with 0.09% sodium azide 0.08 ml 199
Bulk quote request
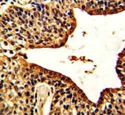
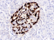
IHC analysis of FFPE human prostate carcinoma with VIP antibody
Western blot analysis of VIP antibody and Jurkat lysate. Predicted molecular weight ~19 kDa.
Flow cytometric analysis of Jurkat cells using VIP antibody (green) compared to a negative control (blue). FITC-conjugated goat-anti-rabbit secondary Ab was used for the analysis.
Availability 1-3 business days
Species Reactivity Human
Format Purified
Clonality Polyclonal (rabbit origin)
Isotype Rabbit Ig
Purity Purified
UniProt P01282
Localization Cytoplasmic
Applications Western Blot : 1:1000
IHC (Paraffin) : 1:50-1:100
Flow Cytometry : 1:10-1:50
Limitations This VIP antibody is available for research use only.
Review this product on BioCompare and get a $20 Amazon gift card

Related Products

  • Applications : IHC-P, IF
    Reactivity : Human, Mouse, Rat

Description

VIP belongs to the glucagon family. It stimulates myocardial contractility, causes vasodilation, increases glycogenolysis, lowers arterial blood pressure and relaxes the smooth muscle of trachea, stomach and gall bladder.

Application Notes

Titration of the VIP antibody may be required due to differences in protocols and secondary/substrate sensitivity.

Immunogen

A portion of amino acids 139-167 from the human protein was used as the immunogen for this VIP antibody.

Storage

Aliquot the VIP antibody and store frozen at -20oC or colder. Avoid repeated freeze-thaw cycles.

Cross
Bulk Quote Request Form
Name*:
Organization*:
Email*:
Phone Number*:
Catalog No.*:
Comments and Specifics(amount, formulation, etc.)*:
Validation code: Captchapackage Image


Can't read the image? click here to refresh.
    *required field

Your bulk quote request has been submitted successfully!

Please contact us if you have any questions.