• Tel: 858.663.9055
  • SeparatorEmail: info@nsjbio.com
  • Tel: 858.663.9055
  • Email: info@nsjbio.com
Home >> Antibodies >> Vinculin Antibody

Vinculin Antibody [clone VCL/2572] (V3889)

  Catalog No Formulation Size Price (USD)  
Image V3889-100UG 0.2 mg/ml in 1X PBS with 0.1 mg/ml BSA (US sourced) and 0.05% sodium azide 100 ug 539
Image
V3889-20UG 0.2 mg/ml in 1X PBS with 0.1 mg/ml BSA (US sourced) and 0.05% sodium azide 20 ug 249
Image
V3889SAF-100UG 1 mg/ml in 1X PBS; BSA free, sodium azide free 100 ug 539
Microvalidated
Bulk quote request
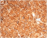
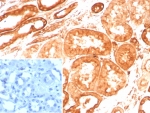
IHC testing of FFPE human testis tissue with Vinculin antibody (clone VCL/2572). HIER: boil tissue sections in pH6, 10mM citrate buffer, for 10-20 min followed by cooling at RT for 20 min.
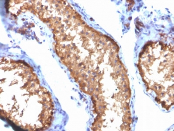
Analysis of HuProt(TM) microarray containing more than 19,000 full-length human proteins using Vinculin antibody (clone VCL/2572). These results demonstrate the foremost specificity of the VCL/2572 mAb.
Z- and S- score: The Z-score represents the strength of a signal that an antibody (in combination with a fluorescently-tagged anti-IgG secondary Ab) produces when binding to a particular protein on the HuProt(TM) array. Z-scores are described in units of standard deviations (SD's) above the mean value of all signals generated on that array. If the targets on the HuProt(TM) are arranged in descending order of the Z-score, the S-score is the difference (also in units of SD's) between the Z-scores. The S-score therefore represents the relative target specificity of an Ab to its intended target.
SDS-PAGE analysis of purified, BSA-free Vinculin antibody (clone VCL/2572) as confirmation of integrity and purity.
Western blot testing of 1) human U-87 MG and 2) human ThP-1 cell lysate with Vinculin antibody. Predicted molecular weight ~124 kDa.
Species Reactivity Human
Format Purified
Clonality Monoclonal (mouse origin)
Isotype Mouse IgG1, kappa
Clone Name VCL/2572
Purity Protein G affinity chromatography
UniProt P18206
Localization Cytoplasmic
Applications Western Blot : 1-2ug/ml
Immunohistochemistry (FFPE) : 1-2ug/ml for 30 min at RT
Limitations This Vinculin antibody is available for research use only.
Review this product on BioCompare and get a $20 Amazon gift card

Related Products

Description

Focal adhesions are identified as areas within the plasma membrane of tissue culture cells that adhere tightly to the underlying substrate. In vivo, these regions are involved in the adhesion of cells to the extracellular matrix. Paxillin and vinculin are cytoskeletal, focal adhesion proteins that are components of a protein complex which links the Actin network to the plasma membrane. Vinculin binding sites have been identified on other cytoskeletal proteins, including Talin and alpha-Actinin. In addition, vinculin, Talin and alpha-Actinin each contain Actin binding sites. Expression of vinculin and Talin have been shown to be affected by the level of Actin expression. Alpha-Actinin has been shown to link Actin to integrins in the plasma membrane through interactions with the vinculin and Talin complex or by a direct interaction with integrin.

Application Notes

Optimal dilution of the Vinculin antibody should be determined by the researcher.

Immunogen

A portion of amino acids 174-322 from the human protein was used as the immunogen for this Vinculin antibody.

Storage

Store the Vinculin antibody at 2-8oC (with azide) or aliquot and store at -20oC or colder (without azide).

Cross
Bulk Quote Request Form
Name*:
Organization*:
Email*:
Phone Number*:
Catalog No.*:
Comments and Specifics(amount, formulation, etc.)*:
Validation code: Captchapackage Image


Can't read the image? click here to refresh.
    *required field

Your bulk quote request has been submitted successfully!

Please contact us if you have any questions.