• Tel: 858.663.9055
  • SeparatorEmail: info@nsjbio.com
  • Tel: 858.663.9055
  • Email: info@nsjbio.com
Home >> Antibodies >> Vinculin Antibody / VCL

Vinculin Antibody / VCL (RQ5686)

  Catalog No Formulation Size Price (USD)  
Image RQ5686 0.5mg/ml if reconstituted with 0.2ml sterile DI water 100 ug 439
Bulk quote request
Immunofluorescent staining of FFPE human breast cancer tissue with Vinculin antibody (green) and DAPI nuclear stain (blue). HIER: steam section in pH6 citrate buffer for 20 min.
IHC staining of FFPE human breast cancer with Vinculin antibody. HIER: boil tissue sections in pH8 EDTA for 20 min and allow to cool before testing.
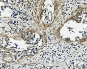
IHC staining of FFPE human lung cancer with Vinculin antibody. HIER: boil tissue sections in pH8 EDTA for 20 min and allow to cool before testing.
IHC staining of FFPE human lung cancer with Vinculin antibody. HIER: boil tissue sections in pH8 EDTA for 20 min and allow to cool before testing.
Western blot testing of human 1) HeLa, 2) U-87 MG, 3) HT1080, 4) HEK293, 5) SK-OV-3, 6) monkey COS-7, 7) human K562, 8) human SGC-7901, 9) rat heart and 10 mouse heart lysate with Vinculin antibody. Predicted molecular weight ~124 kDa.
Flow cytometry testing of human HeLa cells with Vinculin antibody at 1ug/million cells (blocked with goat sera); Red=cells alone, Green=isotype control, Blue= Vinculin antibody.
Availability 1-3 business days
Species Reactivity Human, Mouse, Rat, Monkey
Format Antigen affinity purified
Clonality Polyclonal
Isotype Rabbit IgG
Purity Affinity purified
Buffer Lyophilized from 1X PBS with 2% Trehalose and 0.025% sodium azide
UniProt P18206
Applications Western Blot : 0.5-1ug/ml
Immunohistochemistry : 1-2ug/ml
Immunofluorescence : 2-4ug/ml
Flow Cytometry : 1-3ug/million cells
Direct ELISA : 0.1-0.5ug/ml
Limitations This Vinculin antibody is available for research use only.
Review this product on BioCompare and get a $20 Amazon gift card

Related Products

Description

In mammalian cells, vinculin is a membrane-cytoskeletal protein in focal adhesion plaques that is involved in linkage of integrin adhesion molecules to the actin cytoskeleton. It is mapped to 10q22.2. Vinculin is a cytoskeletal protein associated with cell-cell and cell-matrix junctions, where it is thought to function as one of several interacting proteins involved in anchoring F-actin to the membrane. Defects in VCL are the cause of cardiomyopathy dilated type 1W. Dilated cardiomyopathy is a disorder characterized by ventricular dilation and impaired systolic function, resulting in congestive heart failure and arrhythmia. Multiple alternatively spliced transcript variants have been found for this gene, but the biological validity of some variants has not been determined.

Application Notes

Optimal dilution of the Vinculin antibody should be determined by the researcher.

Immunogen

Recombinant human protein (amino acids M1-E149) was used as the immunogen for the Vinculin antibody.

Storage

After reconstitution, the Vinculin antibody can be stored for up to one month at 4oC. For long-term, aliquot and store at -20oC. Avoid repeated freezing and thawing.

Cross
Bulk Quote Request Form
Name*:
Organization*:
Email*:
Phone Number*:
Catalog No.*:
Comments and Specifics(amount, formulation, etc.)*:
Validation code: Captchapackage Image


Can't read the image? click here to refresh.
    *required field

Your bulk quote request has been submitted successfully!

Please contact us if you have any questions.