• Tel: 858.663.9055
  • SeparatorEmail: info@nsjbio.com
  • Tel: 858.663.9055
  • Email: info@nsjbio.com
Home >> Antibodies >> Vinculin Antibody

Vinculin Antibody (R32692)

  Catalog No Formulation Size Price (USD)  
Image R32692 0.5mg/ml if reconstituted with 0.2ml sterile DI water 100 ug 439
Bulk quote request
Western blot testing of human A549 cell lysate with Vinculin antibody at 0.5ug/ml. Predicted molecular weight ~124 kDa.
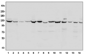
Western blot testing of human 1) HeLa, 2) U-87 MG, 3) HT1080, 4) SW549, 5) PANC-1, 6) PC-3, 7) rat heart 8) rat brain, 9) rat liver, 10) rat PC-12, 11) mouse heart, 12) mouse liver, 13) mouse HEPA1-6 and 14) mouse NIH 3T3 cell lysate with Vinculin antibody at 0.5ug/ml. Predicted molecular weight ~124 kDa.
Availability 1-3 business days
Species Reactivity Human, Mouse, Rat
Format Antigen affinity purified
Clonality Polyclonal (rabbit origin)
Isotype Rabbit IgG
Purity Antigen affinity
Buffer Lyophilized from 1X PBS with 2% Trehalose and 0.025% sodium azide
UniProt P18206
Applications Western Blot : 0.5-1ug/ml
Limitations This Vinculin antibody is available for research use only.
Review this product on BioCompare and get a $20 Amazon gift card

Related Products

Description

Vinculin is a cytoskeletal protein associated with cell-cell and cell-matrix junctions, where it is thought to function as one of several interacting proteins involved in anchoring F-actin to the membrane. Defects in VCL are the cause of cardiomyopathy dilated type 1W. Dilated cardiomyopathy is a disorder characterized by ventricular dilation and impaired systolic function, resulting in congestive heart failure and arrhythmia. Multiple alternatively spliced transcript variants have been found for this gene, but the biological validity of some variants has not been determined.

Application Notes

Optimal dilution of the Vinculin antibody should be determined by the researcher.

Immunogen

Amino acids E930-Q1134 from the human protein were used as the immunogen for the Vinculin antibody.

Storage

After reconstitution, the Vinculin antibody can be stored for up to one month at 4oC. For long-term, aliquot and store at -20oC. Avoid repeated freezing and thawing.

Cross
Bulk Quote Request Form
Name*:
Organization*:
Email*:
Phone Number*:
Catalog No.*:
Comments and Specifics(amount, formulation, etc.)*:
Validation code: Captchapackage Image


Can't read the image? click here to refresh.
    *required field

Your bulk quote request has been submitted successfully!

Please contact us if you have any questions.