• Tel: 858.663.9055
  • SeparatorEmail: info@nsjbio.com
  • Tel: 858.663.9055
  • Email: info@nsjbio.com
Home >> Antibodies >> Vinculin Antibody

Vinculin Antibody [clone HVIN-1] (R30091)

  Catalog No Formulation Size Price (USD)  
Image R30091 0.5mg/ml with 1% BSA and 0.01% sodium azide if reconstituted with 0.2ml sterile 1X PBS 100 ug 439
Bulk quote request
Western blot testing of 1) human HeLa, 2) human HepG2, 3) monkey COS-7, 4) human U-87 MG, 5) rat PC-12, 6) rat RH35, 7) mouse HEPA1-6, and 8) mouse NIH3T3 lysate with Vinculin antibody. Predicted molecular weight ~124 kDa.
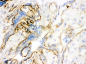
IHC testing of frozen human placenta tissue with Vinculin antibody.
IHC testing of frozen human placenta tissue with Vinculin antibody.
Immunofluorescent staining of FFPE human breast cancer with Vinculin antibody (green) and DAPI (blue). HIER: boil tissue sections in pH6, 10mM citrate buffer, for 20 min and allow to cool before testing.
Availability 1-3 business days
Species Reactivity Human, Mouse, Rat, Chicken
Format Ascites
Clonality Monoclonal (mouse origin)
Isotype Mouse IgG1
Clone Name HVIN-1
Purity Unpurified ascites
Gene ID 7414
Localization Cytoplasmic
Applications Western Blot : 1-2ug/ml
IHC (Frozen) : 2-4ug/ml for formalin or acetone fixed tissues
ICC/IF : 2-4ug/ml
Limitations This Vinculin antibody is available for research use only.
Review this product on BioCompare and get a $20 Amazon gift card

Related Products

Description

Vinculin is a cytoskeletal protein associated with the cytoplasmic face of both cell-cell and cell-extracellular matrix adherens-type junctions, where it is thought to function as one of several interacting proteins involved in anchoring F-actin to the membrane. Both human and chicken embryo sequences of vinculin contain 1,066 amino acids and the two proteins exhibit a high level of sequence identity (greater than 95%).

Application Notes

The stated application concentrations are suggested starting points. Titration of the Vinculin antibody may be required due to differences in protocols and secondary/substrate sensitivity.

Immunogen

Human vinculin purified from uterus tissue was used as the immunogen for this Vinculin antibody.

Storage

After reconstitution, the Vinculin antibody can be stored for up to one month at 4oC. For long-term, aliquot and store at -20oC. Avoid repeated freezing and thawing.

Cross
Bulk Quote Request Form
Name*:
Organization*:
Email*:
Phone Number*:
Catalog No.*:
Comments and Specifics(amount, formulation, etc.)*:
Validation code: Captchapackage Image


Can't read the image? click here to refresh.
    *required field

Your bulk quote request has been submitted successfully!

Please contact us if you have any questions.