• Tel: 858.663.9055
  • SeparatorEmail: info@nsjbio.com
  • Tel: 858.663.9055
  • Email: info@nsjbio.com
Home >> Antibodies >> Vimentin Antibody

Vimentin Antibody [clone VIM/3736] (V8161)

  Catalog No Formulation Size Price (USD)  
Image V8161-100UG 0.2 mg/ml in 1X PBS with 0.1 mg/ml BSA (US sourced) and 0.05% sodium azide 100 ug 539
Image
V8161-20UG 0.2 mg/ml in 1X PBS with 0.1 mg/ml BSA (US sourced) and 0.05% sodium azide 20 ug 249
Image
V8161SAF-100UG 1 mg/ml in 1X PBS; BSA free, sodium azide free 100 ug 539
Microvalidated
Bulk quote request
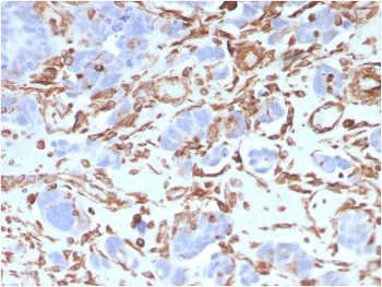
IHC staining of FFPE human colon carcinoma with Vimentin antibody (clone VIM/3736). HIER: boil tissue sections in pH 9 10mM Tris with 1mM EDTA for 20 min and allow to cool before testing.
IHC staining of FFPE human prostate carcinoma with Vimentin antibody (clone VIM/3736). HIER: boil tissue sections in pH 9 10mM Tris with 1mM EDTA for 20 min and allow to cool before testing.
Analysis of HuProt(TM) microarray containing more than 19,000 full-length human proteins using Vimentin antibody (clone VIM/3736). These results demonstrate the foremost specificity of the VIM/3736 mAb. Z- and S- score: The Z-score represents the strength of a signal that an antibody (in combination with a fluorescently-tagged anti-IgG secondary Ab) produces when binding to a particular protein on the HuProt(TM) array. Z-scores are described in units of standard deviations (SD's) above the mean value of all signals generated on that array. If the targets on the HuProt(TM) are arranged in descending order of the Z-score, the S-score is the difference (also in units of SD's) between the Z-scores. The S-score therefore represents the relative target specificity of an Ab to its intended target.
SDS-PAGE analysis of purified, BSA-free Vimentin antibody (clone VIM/3736) as confirmation of integrity and purity.
Western blot testing of human U-87 MG cell lysate with Vimentin antibody. Expected molecular weight: 53-58 kDa.
Availability 1-3 business days
Species Reactivity Human
Format Purified
Clonality Monoclonal (mouse origin)
Isotype Mouse IgG2b, kappa
Clone Name VIM/3736
Purity Protein G affinity chromatography
UniProt P08670
Localization Cytoplasmic
Applications Immunohistochemistry (FFPE) : 1-2ug/ml
Western Blot : 1-2ug/ml
Limitations This Vimentin antibody is available for research use only.
Review this product on BioCompare and get a $20 Amazon gift card

Related Products

  • Applications : WB, IHC
    Reactivity : Human
    Recrabbitmono
  • Applications : FACS, WB, IHC-P
    Reactivity : Human
    Microvalidated
  • Applications : FACS
    Reactivity : Human
    Microvalidated
  • Applications : WB, IHC-P, IF
    Reactivity : Human, Rabbit, Pig, Rat
  • Applications : IHC-P
    Reactivity : Human, Mouse, Rat
    Citation  Citations(11)
  • Applications : WB, IHC-P
    Reactivity : Human
    Citation  Citations(1)
  • Applications : WB, IHC-P
    Reactivity : Human
  • Applications : WB, IHC-P
    Reactivity : Human
  • Applications : WB, ICC/IF, IP
    Reactivity : Human
  • Applications : IHC-P, WB, IF
    Reactivity : Human
    Rab Mono Image
  • Applications : WB, IHC-P
    Reactivity : Human
  • Applications : WB, IHC-P, IF
    Reactivity : Human, Mouse, Rat
  • Applications : IF, WB, IHC, ELISA
    Reactivity : Human, Mouse
    Pred. Reactivity : Bovine, Hamster, Primate, Rat
  • Applications : IF, WB, IHC, FACS, ELISA
    Reactivity : Human
    Pred. Reactivity : Bovine, Chicken, Hamster, Mouse, Pig, Primate, Rat, Xenopus
  • Applications : WB, IHC, FACS, ELISA
    Reactivity : Human
    Pred. Reactivity : Mouse, Rat, Bovine, Pig, Hamster
  • Applications : IF, WB, IHC, FACS, ELISA
    Reactivity : Human
  • Applications : WB, ELISA (peptide)
    Reactivity : Human, Mouse, Rat
    Pred. Reactivity : Dog, Pig, Cow

Description

This MAb reacts with a 58kDa protein identified as vimentin. It shows no cross-reaction with other closely related intermediate filament proteins (IFP s) such as desmin, keratin, neurofilament, and glial fibrillary acid protein.Anti-vimentin alone is of limited value as a diagnostic tool; however, when used in panels with other antibodies, it is useful for the sub-classification of a given tumor. Expression of vimentin, when used in conjunction with anti-keratin, is helpful when distinguishing melanomas from undifferentiated carcinomas and large cell lymphomas. All melanomas and Schwannomas react strongly with anti-vimentin. It labels a variety of mesenchymal cells, including melanocytes, lymphocytes, endothelial cells, and fibroblasts. Non-reactivity of anti-vimentin is often considered more useful than its positive reactivity, since there are a few tumors that do not contain vimentin, e.g. hepatoma and seminoma. Anti-vimentin is also useful as a tissue process control reagent.

Application Notes

Optimal dilution of the Vimentin antibody should be determined by the researcher.

Immunogen

A recombinant human partial protein (amino acids 2-466) was used as the immunogen for this Vimentin antibody.

Storage

Store the Vimentin antibody at 2-8oC (with azide) or aliquot and store at -20oC or colder (without azide).

Cross
Bulk Quote Request Form
Name*:
Organization*:
Email*:
Phone Number*:
Catalog No.*:
Comments and Specifics(amount, formulation, etc.)*:
Validation code: Captchapackage Image


Can't read the image? click here to refresh.
    *required field

Your bulk quote request has been submitted successfully!

Please contact us if you have any questions.