• Tel: 858.663.9055
  • SeparatorEmail: info@nsjbio.com
  • Tel: 858.663.9055
  • Email: info@nsjbio.com
Home >> Antibodies >> Vesicle-fusing ATPase Antibody / NSF

Vesicle-fusing ATPase Antibody / NSF (RQ6355)

  Catalog No Formulation Size Price (USD)  
Image RQ6355 0.5mg/ml if reconstituted with 0.2ml sterile DI water 100 ug 439
Bulk quote request
Immunofluorescent staining of FFPE human T-47D cells with Vesicle-fusing ATPase antibody (green) and DAPI nuclear stain (blue). HIER: steam section in pH6 citrate buffer for 20 min.
IHC staining of FFPE human lung cancer with Vesicle-fusing ATPase antibody. HIER: boil tissue sections in pH8 EDTA for 20 min and allow to cool before testing.
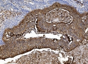
IHC staining of FFPE human colonic adenocarcinoma tissue with Vesicle-fusing ATPase antibody. HIER: boil tissue sections in pH8 EDTA for 20 min and allow to cool before testing.
IHC staining of FFPE human liver cancer tissue with Vesicle-fusing ATPase antibody. HIER: boil tissue sections in pH8 EDTA for 20 min and allow to cool before testing.
IHC staining of FFPE human renal clear cell carcinoma tissue with Vesicle-fusing ATPase antibody. HIER: boil tissue sections in pH8 EDTA for 20 min and allow to cool before testing.
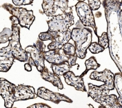
IHC staining of FFPE human placental tissue with Vesicle-fusing ATPase antibody. HIER: boil tissue sections in pH8 EDTA for 20 min and allow to cool before testing.
IHC staining of FFPE human gallbladder adenocarcinoma tissue with Vesicle-fusing ATPase antibody. HIER: boil tissue sections in pH8 EDTA for 20 min and allow to cool before testing.
IHC staining of FFPE mouse brain tissue with Vesicle-fusing ATPase antibody. HIER: boil tissue sections in pH8 EDTA for 20 min and allow to cool before testing.
IHC staining of FFPE rat brain tissue with Vesicle-fusing ATPase antibody. HIER: boil tissue sections in pH8 EDTA for 20 min and allow to cool before testing.
Western blot testing of human 1) placenta, 2) K562, 3) A549, 4) MCF7, 5) U-2 OS, 6) SW620, 7) 22RV1, 8) HepG2, 9) rat brain and 10) mouse brain lysate with Vesicle-fusing ATPase antibody. Predicted molecular weight ~82 kDa.
Flow cytometry testing of human U937 cells with Vesicle-fusing ATPase antibody at 1ug/million cells (blocked with goat sera); Red=cells alone, Green=isotype control, Blue= Vesicle-fusing ATPase antibody.
Availability 1-3 business days
Species Reactivity Human, Mouse, Rat
Format Purified
Clonality Polyclonal (rabbit origin)
Isotype Rabbit IgG
Purity Antigen affinity purified
Buffer Lyophilized from 1X PBS with 2% Trehalose
UniProt P46459
Localization Cytoplasmic
Applications Western Blot : 0.5-1ug/ml
Immunohistochemistry (FFPE) : 2-5ug/ml
Immunofluorescence (FFPE) : 5ug/ml
Flow Cytometry : 1-3ug/million cells
Direct ELISA : 0.1-0.5ug/ml
Limitations This Vesicle-fusing ATPase antibody is available for research use only.
Review this product on BioCompare and get a $20 Amazon gift card

Related Products

Description

N-ethylmaleimide-sensitive factor, also known as NSF and Vesicle-fusing ATPase, is an enzyme which in humans is encoded by the NSF gene. NSF is a homohexameric AAA ATPase involved in membrane fusion. NSF is ubiquitously found in the cytoplasm of eukaryotic cells. It is a central component of the cellular machinery in the transfer of membrane vesicles from one membrane compartment to another. During this process, SNARE proteins on two joining membranes (usually a vesicle and a target membrane such as the plasma membrane) form a tight complex. This aids fusion of the vesicle with the target membrane. It has been proposed that the role of NSF is to undo these SNARE complexes once membrane fusion has occurred, using the hydrolysis of ATP as an energy source, allowing the dissociated SNAREs to be recycled for reuse in further rounds of membrane fusion. This proposal remains controversial, however. Recent work indicates that the ATPase function of NSF does not function in recycling of vesicles but rather functions in the act of fusing vesicles with the plasma membrane.

Application Notes

Optimal dilution of the Vesicle-fusing ATPase antibody should be determined by the researcher.

Immunogen

Recombinant human protein (amino acids R4-Q636) was used as the immunogen for the Vesicle-fusing ATPase antibody.

Storage

After reconstitution, the Vesicle-fusing ATPase antibody can be stored for up to one month at 4oC. For long-term, aliquot and store at -20oC. Avoid repeated freezing and thawing.

Cross
Bulk Quote Request Form
Name*:
Organization*:
Email*:
Phone Number*:
Catalog No.*:
Comments and Specifics(amount, formulation, etc.)*:
Validation code: Captchapackage Image


Can't read the image? click here to refresh.
    *required field

Your bulk quote request has been submitted successfully!

Please contact us if you have any questions.