• Tel: 858.663.9055
  • SeparatorEmail: info@nsjbio.com
  • Tel: 858.663.9055
  • Email: info@nsjbio.com
Home >> Antibodies >> VEGFD Antibody / VEGF4

VEGFD Antibody / VEGF4 (R31821)

  Catalog No Formulation Size Price (USD)  
Image R31821 0.5mg/ml if reconstituted with 0.2ml sterile DI water 100 ug 439
Bulk quote request
Western blot testing of 1) rat heart, 2) human HepG2 and 3) human A549 lysate with VEGFD antibody. Expected molecular weight: 40-53 kDa (pro-form), ~21 kDa (mature/active form).
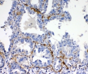
IHC testing of FFPE human lung cancer tissue with VEGFD antibody at 1ug/ml. Required HIER: steam section in pH6 citrate buffer for 20 min and allow to cool prior to testing.
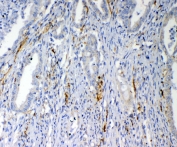
IHC testing of FFPE human colon cancer tissue with VEGFD antibody at 1ug/ml. Required HIER: steam section in pH6 citrate buffer for 20 min and allow to cool prior to testing.
Availability 1-3 business days
Species Reactivity Human
Format Antigen affinity purified
Clonality Polyclonal (rabbit origin)
Isotype Rabbit IgG
Purity Antigen affinity
Buffer Lyophilized from 1X PBS with 2.5% BSA, 0.025% sodium azide
UniProt O43915
Localization Cytoplasmic, secreted
Applications Western Blot : 0.1-0.5ug/ml
IHC (FFPE) : 1-2ug/ml
Limitations This VEGFD antibody is available for research use only.
Review this product on BioCompare and get a $20 Amazon gift card

Related Products

Description

C-fos induced growth factor (FIGF) (or vascular endothelial growth factor D, VEGFD, VEGF4) is a vascular endothelial growth factor that in humans is encoded by the FIGF gene. The protein encoded by this gene is a member of the platelet-derived growth factor/vascular endothelial growth factor (PDGF/VEGF) family and is active in angiogenesis, lymphangiogenesis, and endothelial cell growth. Analyzing by Northern blotting, Yamada et al. (1997) symbolized VEGFD, was expressed as a 2.2-kb transcript with highest expression in lung, heart, small intestine, and fetal lung, and lower levels in skeletal muscle, colon, and pancreas. And Achen et al. (1998) concluded that VEGFD was most closely related to VEGFC by virtue of the presence of N- and C-terminal extensions that were not found in other VEGF family members. Stacker et al. (2001) showed that VEGFD can induce tumor angiogenesis through VEGFR2 and tumor lymphangiogenesis through VEGFR3, whereas VEGF, which does not activate VEGFR3, induces only tumor angiogenesis.

Application Notes

Optimal dilution of the VEGFD antibody should be determined by the researcher.

Immunogen

Amino acids 89-205 of human VEGFD were used as the immunogen for the VEGFD antibody.

Storage

After reconstitution, the VEGFD antibody can be stored for up to one month at 4oC. For long-term, aliquot and store at -20oC. Avoid repeated freezing and thawing.

Cross
Bulk Quote Request Form
Name*:
Organization*:
Email*:
Phone Number*:
Catalog No.*:
Comments and Specifics(amount, formulation, etc.)*:
Validation code: Captchapackage Image


Can't read the image? click here to refresh.
    *required field

Your bulk quote request has been submitted successfully!

Please contact us if you have any questions.