• Tel: 858.663.9055
  • SeparatorEmail: info@nsjbio.com
  • Tel: 858.663.9055
  • Email: info@nsjbio.com
Home >> Antibodies >> VDR Antibody

VDR Antibody (R31945)

  Catalog No Formulation Size Price (USD)  
Image R31945 0.5mg/ml if reconstituted with 0.2ml sterile DI water 100 ug 439
Bulk quote request
Western blot testing of 1) human placenta, 2) rat kidney, 3) rat liver, 4) rat pancreas and 5) human HeLa lysate with VDR antibody. Expected/observed molecular weight ~48 kDa.
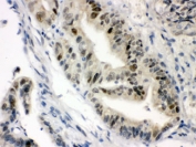
IHC testing of FFPE human intestine cancer with SLC22A2 antibody. HIER: Boil the paraffin sections in pH 6, 10mM citrate buffer for 20 minutes and allow to cool prior to staining.
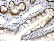
IHC testing of FFPE mouse intestine with SLC22A2 antibody. HIER: Boil the paraffin sections in pH 6, 10mM citrate buffer for 20 minutes and allow to cool prior to staining.
IHC testing of FFPE rat intestine with SLC22A2 antibody. HIER: Boil the paraffin sections in pH 6, 10mM citrate buffer for 20 minutes and allow to cool prior to staining.
Availability 1-3 business days
Species Reactivity Human, Mouse, Rat
Format Antigen affinity purified
Clonality Polyclonal (rabbit origin)
Isotype Rabbit IgG
Purity Antigen affinity
Buffer Lyophilized from 1X PBS with 2.5% BSA and 0.025% sodium azide
UniProt P11473
Applications Western Blot : 0.1-0.5ug/ml
IHC (FFPE) : 0.5-1ug/ml
Limitations This VDR antibody is available for research use only.
Review this product on BioCompare and get a $20 Amazon gift card

Related Products

Description

VDR (Vitamin D Receptor), also known as Vitamin D Hormone Receptor, is a member of the nuclear receptor family of transcription factors. Labuda et al. (1991) assigned the VDR gene to 12q12-q14 by in situ hybridization. Using mutation analysis, Jurutka et al. (2000) characterized arg18/arg22, VDR residues immediately N-terminal of the first DNA-binding zinc finger, as vital for contact with the general transcription factor IIB (TFIIB). A natural polymorphic variant of VDR, termed F/M4 (missing a FokI restriction site), which lacks only the first 3 amino acids (including glu2), interacted more efficiently with TFIIB and also possessed elevated transcriptional activity compared with the full-length (f/M1) receptor. Shah et al. (2006) stated that the signaling and oncogenic activity of beta-catenin (CTNNB1) can be repressed by activation of VDR. Conversely, high levels of beta-catenin can potentiate the transcriptional activity of 1,25- dihydroxyvitamin D3.

Application Notes

Optimal dilution of the VDR antibody should be determined by the researcher.

Immunogen

Amino acids HLLYAKMIQKLADLRSLNEEHSKQYR of human VDR were used as the immunogen for the VDR antibody.

Storage

After reconstitution, the VDR antibody can be stored for up to one month at 4oC. For long-term, aliquot and store at -20oC. Avoid repeated freezing and thawing.

Cross
Bulk Quote Request Form
Name*:
Organization*:
Email*:
Phone Number*:
Catalog No.*:
Comments and Specifics(amount, formulation, etc.)*:
Validation code: Captchapackage Image


Can't read the image? click here to refresh.
    *required field

Your bulk quote request has been submitted successfully!

Please contact us if you have any questions.