• Tel: 858.663.9055
  • SeparatorEmail: info@nsjbio.com
  • Tel: 858.663.9055
  • Email: info@nsjbio.com
Home >> Antibodies >> VCP Antibody

VCP Antibody (R31254)

  Catalog No Formulation Size Price (USD)  
Image R31254 0.5mg/ml if reconstituted with 0.2ml sterile DI water 100 ug 439
Bulk quote request
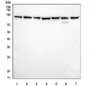
Western blot testing of VCP antibody and rat samples 1: brain; 2: kidney; 3: liver; 4: lung; and human samples 5: HeLa; 6: HL-60; 7: A431; 8: A549; 9: SMMC-7721 cell lysate. Predicted/observed molecular weight: ~89/97 kDa.
IHC-P: VCP antibody testing of human breast cancer tissue
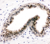
IHC-F testing of VCP antibody and rat intestine tissue
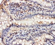
IHC-P: VCP antibody testing of rat intestine tissue
IHC-P: VCP antibody testing of rat epinephros tissue
IHC-P: VCP antibody testing of rat cerebellum tissue
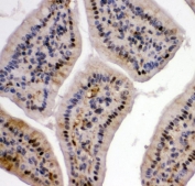
IHC-P: VCP antibody testing of mouse intestine tissue
Immunocytochemical staining of FFPE human K562 cells with VCP antibody. HIER: steam section in pH6 citrate buffer for 20 min.
Immunofluorescent staining of FFPE human A549 cells with VCP antibody (green) and DAPI nuclear stain (blue). HIER: steam section in pH6 citrate buffer for 20 min.
Flow cytometry testing of human HeLa cells with VCP antibody at 1ug/million cells (blocked with goat sera); Red=cells alone, Green=isotype control, Blue= VCP antibody.
Western blot testing of 1) human HeLa, 2) human SH-SY5Y, 3) human MCF7, 4) human A431, 5) human K562, 6) human HepG2 and 7) monkey COS-7 cell lysate with VCP antibody. Predicted molecular weight ~89 kDa, commonly observed at 89-97 kDa.
Western blot testing of 1) rat brain, 2) rat lung, 3) rat stomach, 4) rat C6, 5) mouse brain, 6) mouse lung and 7) mouse RAW264.7 cell lysate with VCP antibody. Predicted molecular weight ~89 kDa, commonly observed at 89-97 kDa.
Availability 1-3 business days
Species Reactivity Human, Mouse, Rat, Monkey
Format Antigen affinity purified
Clonality Polyclonal (rabbit origin)
Isotype Rabbit IgG
Purity Antigen affinity
Buffer Lyophilized from 1X PBS with 2.5% BSA and 0.025% sodium azide/thimerosal
UniProt P55072
Applications Western Blot : 0.5-1ug/ml
Immunohistochemistry (FFPE) : 0.5-1ug/ml
Immunohistochemistry (Frozen) : 0.5-1ug/ml
Immunocytochemistry : 0.5-1ug/ml
Immunofluorescence : 2-4ug/ml
Flow Cytometry : 1-3ug/million cells
Limitations This VCP antibody is available for research use only.
Review this product on BioCompare and get a $20 Amazon gift card

Related Products

Description

Valosin-containing protein, also called Cdc48, is an enzyme that in humans is encoded by the VCP gene. It is a member of the AAA+(ATPase associated with various activities) protein family. The gene maps to chromosome 9p13.3. It is necessary for the fragmentation of Golgi stacks during mitosis and for their reassembly after mitosis. It is involved in the formation of the transitional endoplasmic reticulum. This gene plays a role in vesicle transport and fusion, 26S proteasome function, and assembly of peroxisomes. VCP is also involved in DNA damage response: recruited to double-strand breaks(DSBs) sites in a RNF8- and RNF168-dependent manner and promotes the recruitment of TP53BP1 at DNA damage sites.

Application Notes

The stated application concentrations are suggested starting amounts. Titration of the VCP antibody may be required due to differences in protocols and secondary/substrate sensitivity.

Immunogen

An amino acid sequence from the C-terminus of human Valosin-containing protein (DNDIRKYEMFAQTLQQSR) was used as the immunogen for this VCP antibody (100% homologous in human, mouse and rat).

Storage

After reconstitution, the VCP antibody can be stored for up to one month at 4oC. For long-term, aliquot and store at -20oC. Avoid repeated freezing and thawing.

Cross
Bulk Quote Request Form
Name*:
Organization*:
Email*:
Phone Number*:
Catalog No.*:
Comments and Specifics(amount, formulation, etc.)*:
Validation code: Captchapackage Image


Can't read the image? click here to refresh.
    *required field

Your bulk quote request has been submitted successfully!

Please contact us if you have any questions.