- Tel: 858.663.9055
- 
									 Email: info@nsjbio.com Email: info@nsjbio.com
- Tel: 858.663.9055
- Email: info@nsjbio.com
 Email: info@nsjbio.com
Email: info@nsjbio.com
								Related Products
| 
 | 
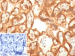
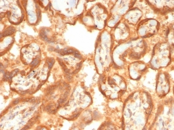
This mAb recognizes proteins of 19-22kDa (reducing) and 38kDa-44kDa (non-reducing), identified as various isoforms of Vascular Endothelial Growth Factor or Vascular Permeability Factor (VEGF/VPF). It is highly specific to VEGF, which is a homodimeric, disulfide-linked glycoprotein with a close homology to platelet derived growth factor (PDGF). There are multiple isoforms of VEGF containing 206-, 189-, 165-, and 121-amino acid residues. The smaller two isoforms, VEGF165 and VEGF121, are secreted proteins and act as diffusible agents, whereas the larger two remain cell associated. VEGF/VPF plays an important role in angiogenesis, which promotes tumor progression and metastasis.
Optimal dilution of the Vascular Endothelial Growth Factor antibody should be determined by the researcher.
A recombinant partial protein sequence (within amino acids 1-200) from the human protein was used as the immunogen for the Vascular Endothelial Growth Factor antibody.
Aliquot the Vascular Endothelial Growth Factor antibody and store frozen at -20oC or colder. Avoid repeated freeze-thaw cycles.
 
Your bulk quote request has been submitted successfully!
Please contact us if you have any questions.