• Tel: 858.663.9055
  • SeparatorEmail: info@nsjbio.com
  • Tel: 858.663.9055
  • Email: info@nsjbio.com
Home >> Antibodies >> VAPA Antibody / VAP33

VAPA Antibody / VAP33 (RQ7451)

  Catalog No Formulation Size Price (USD)  
Image RQ7451 0.5mg/ml if reconstituted with 0.2ml sterile DI water 100 ug 439
Bulk quote request
IHC staining of FFPE human cervical cancer tissue with VAPA antibody. HIER: boil tissue sections in pH8 EDTA for 20 min and allow to cool before testing.
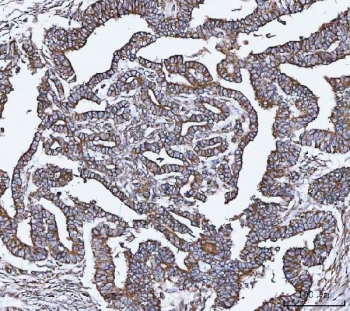
IHC staining of FFPE human lung adenocarcinoma tissue with VAPA antibody. HIER: boil tissue sections in pH8 EDTA for 20 min and allow to cool before testing.
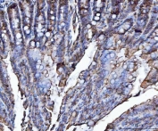
IHC staining of FFPE human colorectal adenocarcinoma tissue with VAPA antibody. HIER: boil tissue sections in pH8 EDTA for 20 min and allow to cool before testing.
IHC staining of FFPE human placenta tissue with VAPA antibody. HIER: boil tissue sections in pH8 EDTA for 20 min and allow to cool before testing.
IHC staining of FFPE mouse colon tissue with VAPA antibody. HIER: boil tissue sections in pH8 EDTA for 20 min and allow to cool before testing.
IHC staining of FFPE rat colon tissue with VAPA antibody. HIER: boil tissue sections in pH8 EDTA for 20 min and allow to cool before testing.
Immunofluorescent staining of FFPE human colorectal adenocarcinoma tissue with VAPA antibody (red) and DAPI nuclear stain (blue). HIER: steam section in pH8 EDTA buffer for 20 min.
Immunofluorescent staining of FFPE rat colon tissue with VAPA antibody (red) and DAPI nuclear stain (blue). HIER: steam section in pH8 EDTA buffer for 20 min.
Immunofluorescent staining of FFPE human PC-3 cells with VAPA antibody (green) and DAPI nuclear stain (blue). HIER: steam section in pH6 citrate buffer for 20 min.
Western blot testing of 1) human HeLa, 2) human K562, 3) human 293T, 4) human HepG2, 5) rat brain and 6) mouse brain tissue lysate with VAPA antibody. Expected molecular weight: 28-33 kDa (two isoforms).
Flow cytometry testing of human U-87 MG cells with VAPA antibody at 1ug/million cells (blocked with goat sera); Red=cells alone, Green=isotype control, Blue= VAPA antibody.
Availability 1-3 business days
Species Reactivity Human, Mouse, Rat
Format Antigen affinity purified
Clonality Polyclonal (rabbit origin)
Isotype Rabbit IgG
Purity Antigen affinity purified
Buffer Lyophilized from 1X PBS with 2% Trehalose
UniProt Q9P0L0
Localization Cell surface, cytoplasmic, nuclear membrane
Applications Western Blot : 0.5-1ug/ml
Immunohistochemistry (FFPE) : 2-5ug/ml
Immunofluorescence : 5ug/ml
Flow Cytometry : 1-3ug/million cells
Limitations This VAPA antibody is available for research use only.
Review this product on BioCompare and get a $20 Amazon gift card

Related Products

Description

VAMP-Associated Protein A (Vesicle-Associated Membrane Protein-Associated Protein A), also called 33 kDa VAMP-associated protein (VAP33) is a protein that in humans is encoded by the VAPA gene. The protein encoded by this gene is a type IV membrane protein. It is present in the plasma membrane and intracellular vesicles. It may also be associated with the cytoskeleton. This protein may function in vesicle trafficking, membrane fusion, protein complex assembly and cell motility. Alternative splicing occurs at this locus and two transcript variants encoding distinct isoforms have been identified.

Application Notes

Optimal dilution of the VAPA antibody should be determined by the researcher.

Immunogen

Amino acids KHEQILVLDPPTDLKFK from the human protein were used as the immunogen for the VAPA antibody.

Storage

After reconstitution, the VAPA antibody can be stored for up to one month at 4oC. For long-term, aliquot and store at -20oC. Avoid repeated freezing and thawing.

Cross
Bulk Quote Request Form
Name*:
Organization*:
Email*:
Phone Number*:
Catalog No.*:
Comments and Specifics(amount, formulation, etc.)*:
Validation code: Captchapackage Image


Can't read the image? click here to refresh.
    *required field

Your bulk quote request has been submitted successfully!

Please contact us if you have any questions.