• Tel: 858.663.9055
  • SeparatorEmail: info@nsjbio.com
  • Tel: 858.663.9055
  • Email: info@nsjbio.com
Home >> Antibodies >> Uteroglobin Antibody / Scgb1a1

Uteroglobin Antibody / Scgb1a1 (RQ4102)

  Catalog No Formulation Size Price (USD)  
Image RQ4102 0.5mg/ml if reconstituted with 0.2ml sterile DI water 100 ug 439
Bulk quote request
Western blot testing of rat lung tissue lysate with Uteroglobin antibody at 0.5ug/ml. Expected molecular weight: 10-17 kDa.
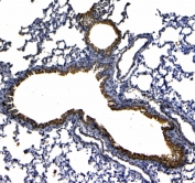
IHC testing of FFPE rat lung tissue with Uteroglobin antibody at 1ug/ml. Required HIER: steam section in pH6 citrate buffer for 20 min and allow to cool prior to testing.
Availability 1-3 business days
Species Reactivity Rat
Format Antigen affinity purified
Clonality Polyclonal (rabbit origin)
Isotype Rabbit IgG
Purity Antigen affinity purified
Buffer Lyophilized from 1X PBS with 2% Trehalose and 0.025% sodium azide
UniProt P17559
Localization Cytoplasmic
Applications Western Blot : 0.5-1ug/ml
IHC (FFPE) : 1-2ug/ml
Direct ELISA : 0.1-0.5ug/ml
Limitations This Uteroglobin antibody is available for research use only.
Review this product on BioCompare and get a $20 Amazon gift card

Related Products

Description

Uteroglobin, also known as secretoglobin family 1A member 1 (SCGB1A1), is a protein that in humans is encoded by the SCGB1A1 gene. This gene encodes a member of the secretoglobin family of small secreted proteins. The encoded protein has been implicated in numerous functions including anti-inflammation, inhibition of phospholipase A2 and the sequestering of hydrophobic ligands. Defects in this gene are associated with a susceptibility to asthma.

Application Notes

Optimal dilution of the Uteroglobin antibody should be determined by the researcher.

Immunogen

A recombinant rat partial protein corresponding to amino acids S20-V96 was used as the immunogen for the Uteroglobin antibody.

Storage

After reconstitution, the Uteroglobin antibody can be stored for up to one month at 4oC. For long-term, aliquot and store at -20oC. Avoid repeated freezing and thawing.

Cross
Bulk Quote Request Form
Name*:
Organization*:
Email*:
Phone Number*:
Catalog No.*:
Comments and Specifics(amount, formulation, etc.)*:
Validation code: Captchapackage Image


Can't read the image? click here to refresh.
    *required field

Your bulk quote request has been submitted successfully!

Please contact us if you have any questions.