• Tel: 858.663.9055
  • SeparatorEmail: info@nsjbio.com
  • Tel: 858.663.9055
  • Email: info@nsjbio.com
Home >> Antibodies >> USP25 Antibody

USP25 Antibody (RQ6017)

  Catalog No Formulation Size Price (USD)  
Image RQ6017 0.5mg/ml if reconstituted with 0.2ml sterile DI water 100 ug 439
Bulk quote request
Immunofluorescent staining of FFPE human A549 cells with USP25 antibody (green) and DAPI nuclear stain (blue). HIER: steam section in pH6 citrate buffer for 20 min.
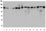
Western blot testing of 1) human HEK293, 2) human placenta, 3) monkey liver, 4) monkey kidney, 5) human PC-3, 6) human HeLa, 7) human A549, 8) rat kidney, 9) rat liver, 10) rat lung, 11) rat PC-12, 12) mouse lung, 13) mouse RAW264.7 and 14) mouse NIH 3T3 lysate with USP25 antibody. Predicted molecular weight ~122 kDa.
Flow cytometry testing of human HL60 cells with USP25 antibody at 1ug/million cells (blocked with goat sera); Red=cells alone, Green=isotype control, Blue= USP25 antibody.
Availability 1-3 business days
Species Reactivity Human, Mouse, Rat, Monkey
Format Antigen affinity purified
Clonality Polyclonal (rabbit origin)
Isotype Rabbit IgG
Purity Affinity purified
Buffer Lyophilized from 1X PBS with 2% Trehalose and 0.025% sodium azide
UniProt Q9UHP3
Localization Nuclear, cytoplasmic
Applications Western Blot : 0.5-1ug/ml
Immunofluorescence : 2-4ug/ml
Flow Cytometry : 1-3ug/million cells
Direct ELISA : 0.1-0.5ug/ml
Limitations This USP25 antibody is available for research use only.
Review this product on BioCompare and get a $20 Amazon gift card

Description

Ubiquitin specific peptidase 25 is a protein that in humans is encoded by the USP25 gene. It is mapped to 21q21.1. Ubiquitin is a highly conserved 76-amino acid protein involved in regulation of intracellular protein breakdown, cell cycle regulation, and stress response. Ubiquitin is released from degraded proteins by disassembly of the polyubiquitin chains, which is mediated by ubiquitin-specific proteases (USPs), such as USP25.

Application Notes

Optimal dilution of the USP25 antibody should be determined by the researcher.

Immunogen

Recombinant human protein (amino acids M1-D1053) was used as the immunogen for the USP25 antibody.

Storage

After reconstitution, the USP25 antibody can be stored for up to one month at 4oC. For long-term, aliquot and store at -20oC. Avoid repeated freezing and thawing.

Cross
Bulk Quote Request Form
Name*:
Organization*:
Email*:
Phone Number*:
Catalog No.*:
Comments and Specifics(amount, formulation, etc.)*:
Validation code: Captchapackage Image


Can't read the image? click here to refresh.
    *required field

Your bulk quote request has been submitted successfully!

Please contact us if you have any questions.