• Tel: 858.663.9055
  • SeparatorEmail: info@nsjbio.com
  • Tel: 858.663.9055
  • Email: info@nsjbio.com
Home >> Antibodies >> USP21 Antibody

USP21 Antibody (RQ6016)

  Catalog No Formulation Size Price (USD)  
Image RQ6016 0.5mg/ml if reconstituted with 0.2ml sterile DI water 100 ug 439
Bulk quote request
Immunofluorescent staining of FFPE human A431 cells with USP21 antibody (green) and DAPI nuclear stain (blue). HIER: steam section in pH6 citrate buffer for 20 min.
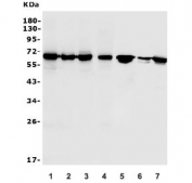
Western blot testing of human 1) HeLa, 2) HepG2, 3) PANC-1, 4) HEK293, 5) rat kidney, 6) mouse kidney and 7) mouse RAW264.7 lysate with USP21 antibody. Predicted molecular weight ~63 kDa.
Availability 1-3 business days
Species Reactivity Human, Mouse, Rat
Format Antigen affinity purified
Clonality Polyclonal (rabbit origin)
Isotype Rabbit IgG
Purity Affinity purified
Buffer Lyophilized from 1X PBS with 2% Trehalose and 0.025% sodium azide
UniProt Q9UK80
Applications Western Blot : 0.5-1ug/ml
Immunofluorescence : 2-4ug/ml
Direct ELISA : 0.1-0.5ug/ml
Limitations This USP21 antibody is available for research use only.
Review this product on BioCompare and get a $20 Amazon gift card

Description

Ubiquitin carboxyl-terminal hydrolase 21 is a protein that in humans is encoded by the USP21 gene. It is mapped to 1q23.3. This gene encodes a member of the C19 peptidase family, also known as family 2 of ubiquitin carboxy-terminal hydrolases. The encoded protein cleaves ubiquitin from ubiquitinated proteins for recycling in intracellular protein degradation. The encoded protein is also able to release NEDD8, a ubiquitin-like protein, from NEDD8-conjugated proteins. This gene has been referred to as USP16 and USP23 but is now known as USP21. Alternatively spliced transcript variants encoding different isoforms have been found for this gene.

Application Notes

Optimal dilution of the USP21 antibody should be determined by the researcher.

Immunogen

Recombinant human protein (amino acids A277-L565) was used as the immunogen for the USP21 antibody.

Storage

After reconstitution, the USP21 antibody can be stored for up to one month at 4oC. For long-term, aliquot and store at -20oC. Avoid repeated freezing and thawing.

Cross
Bulk Quote Request Form
Name*:
Organization*:
Email*:
Phone Number*:
Catalog No.*:
Comments and Specifics(amount, formulation, etc.)*:
Validation code: Captchapackage Image


Can't read the image? click here to refresh.
    *required field

Your bulk quote request has been submitted successfully!

Please contact us if you have any questions.