• Tel: 858.663.9055
  • SeparatorEmail: info@nsjbio.com
  • Tel: 858.663.9055
  • Email: info@nsjbio.com
Home >> Antibodies >> USP2 Antibody

USP2 Antibody (F54760)

  Catalog No Formulation Size Price (USD)  
Image F54760-0.4ML In 1X PBS, pH 7.4, with 0.09% sodium azide 0.4 ml 429
Image
F54760-0.08ML In 1X PBS, pH 7.4, with 0.09% sodium azide 0.08 ml 199
Bulk quote request
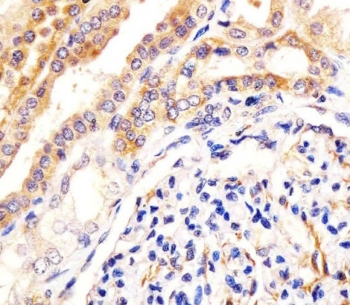
IHC testing of FFPE human kidney tissue with USP2 antibody. HIER: steam section in pH6 citrate buffer for 20 min and allow to cool prior to staining.
IHC testing of FFPE human testis tissue with USP2 antibody. HIER: steam section in pH6 citrate buffer for 20 min and allow to cool prior to staining.
Western blot testing of human HeLa cell lysate with USP2 antibody. Predicted molecular weight ~68 kDa.
Availability 1-3 business days
Species Reactivity Human
Format Purified
Clonality Polyclonal (rabbit origin)
Isotype Rabbit Ig
Purity Purified
UniProt O75604
Localization Cytoplasmic, nuclear
Applications Immunohistochemistry (FFPE) : 1:50-1:100
Western Blot : 1:1000-1:2000
Limitations This USP2 antibody is available for research use only.
Review this product on BioCompare and get a $20 Amazon gift card

Related Products

Description

USP2, an ubiquitin-specific protease, is selectively up regulated in bone by the osteotropic agents PTH, PTHrP and PGE2 and possibly via the PKA/cAMP pathway. It is also thought to play a role in the recycling of ubiquitin by hydrolysis of branched poly-ubiquitin from linear poly-ubiquitin chains, production of free ubiquitin from linear poly-ubiquitin chains and from certain ribosomal ubiquitin fusion proteins.

Application Notes

The stated application concentrations are suggested starting points. Titration of the USP2 antibody may be required due to differences in protocols and secondary/substrate sensitivity.

Immunogen

A portion of amino acids 508-538 from the human protein was used as the immunogen for the USP2 antibody.

Storage

Aliquot the USP2 antibody and store frozen at -20oC or colder. Avoid repeated freeze-thaw cycles.

Cross
Bulk Quote Request Form
Name*:
Organization*:
Email*:
Phone Number*:
Catalog No.*:
Comments and Specifics(amount, formulation, etc.)*:
Validation code: Captchapackage Image


Can't read the image? click here to refresh.
    *required field

Your bulk quote request has been submitted successfully!

Please contact us if you have any questions.