• Tel: 858.663.9055
  • SeparatorEmail: info@nsjbio.com
  • Tel: 858.663.9055
  • Email: info@nsjbio.com
Home >> Antibodies >> USP16 Antibody

USP16 Antibody (R34100)

  Catalog No Formulation Size Price (USD)  
Image R34100-100UG 0.5 mg/ml in 1X TBS, pH7.3, with 0.5% BSA (US sourced) and 0.02% sodium azide 100 ug 449
Bulk quote request
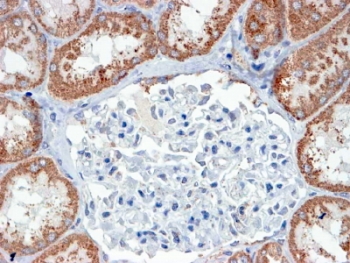
IHC testing of FFPE human human kidney with USP16 antibody at 4ug/ml. HIER: steamed with pH9 Tris/EDTA buffer, HRP-staining.
Availability 1-3 business days
Species Reactivity Human
Predicted Reactivity Cow, Dog, Mouse, Pig, Rat
Format Antigen affinity purified
Clonality Polyclonal (goat origin)
Isotype Goat Ig
Purity Antigen affinity
Gene ID 10600
Applications Immunohistochemistry (FFPE) : 4-8ug/ml
ELISA (peptide) LOD : 1:32000
Limitations This USP16 antibody is available for research use only.
Review this product on BioCompare and get a $20 Amazon gift card

Related Products

Description

Additional name(s) for this target protein: Ubiquitin specific protease 16

Application Notes

Optimal dilution of the USP16 antibody should be determined by the researcher.

1. This USP16 antibody will detect isoforms a and b of the protein.

Immunogen

Amino acids GKKRTKGKTVPIDD were used as the immunogen for this USP16 antibody.

Storage

Aliquot and store the USP16 antibody at -20oC.

Cross
Bulk Quote Request Form
Name*:
Organization*:
Email*:
Phone Number*:
Catalog No.*:
Comments and Specifics(amount, formulation, etc.)*:
Validation code: Captchapackage Image


Can't read the image? click here to refresh.
    *required field

Your bulk quote request has been submitted successfully!

Please contact us if you have any questions.