• Tel: 858.663.9055
  • SeparatorEmail: info@nsjbio.com
  • Tel: 858.663.9055
  • Email: info@nsjbio.com
Home >> Antibodies >> USP15 Antibody

USP15 Antibody (F54398)

  Catalog No Formulation Size Price (USD)  
Image F54398-0.4ML In 1X PBS, pH 7.4, with 0.09% sodium azide 0.4 ml 429
Image
F54398-0.08ML In 1X PBS, pH 7.4, with 0.09% sodium azide 0.08 ml 199
Bulk quote request
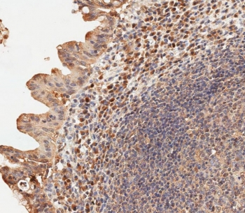
IHC testing of FFPE human epityphlon tissue with USP15 antibody. HIER: steam section in pH9 EDTA for 20 min and allow to cool prior to staining.
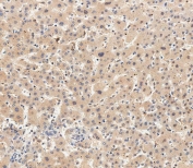
IHC testing of FFPE human liver tissue with USP15 antibody. HIER: steam section in pH9 EDTA for 20 min and allow to cool prior to staining.
Immunofluorescent staining of fixed and permeabilized human HeLa cells with USP15 antibody (green) and DAPI nuclear stain (blue).
Western blot testing of human MOLT4 cell lysate with USP15 antibody. Predicted molecular weight ~112 kDa.
Availability 1-3 business days
Species Reactivity Human
Format Purified
Clonality Polyclonal (rabbit origin)
Isotype Rabbit Ig
Purity Antigen affinity purified
UniProt Q9Y4E8
Localization Nuclear, cytoplasmic
Applications Immunofluorescence : 1:25
Western Blot : 1:500-1:2000
Immunohistochemistry (FFPE) : 1:25
Limitations This USP15 antibody is available for research use only.
Review this product on BioCompare and get a $20 Amazon gift card

Related Products

Description

Modification of target proteins by ubiquitin participates in a wide array of biological functions. Proteins destined for degradation or processing via the 26 S proteasome are coupled to multiple copies of ubiquitin. However, attachment of ubiquitin or ubiquitin-related molecules may also result in changes in subcellular distribution or modification of protein activity. An additional level of ubiquitin regulation, deubiquitination, is catalyzed by proteases called deubiquitinating enzymes, which fall into four distinct families. Ubiquitin C-terminal hydrolases, ubiquitin-specific processing proteases (USPs),1 OTU-domain ubiquitin-aldehyde-binding proteins, and Jab1/Pad1/MPN-domain-containing metallo-enzymes. Among these four families, USPs represent the most widespread and represented deubiquitinating enzymes across evolution. USPs tend to release ubiquitin from a conjugated protein. They display similar catalytic domains containing conserved Cys and His boxes but divergent N-terminal and occasionally C-terminal extensions, which are thought to function in substrate recognition, subcellular localization, and protein-protein interactions.

Application Notes

The stated application concentrations are suggested starting points. Titration of the USP15 antibody may be required due to differences in protocols and secondary/substrate sensitivity.

Immunogen

A portion of amino acids 151-180 from the human protein was used as the immunogen for the USP15 antibody.

Storage

Aliquot the USP15 antibody and store frozen at -20oC or colder. Avoid repeated freeze-thaw cycles.

Cross
Bulk Quote Request Form
Name*:
Organization*:
Email*:
Phone Number*:
Catalog No.*:
Comments and Specifics(amount, formulation, etc.)*:
Validation code: Captchapackage Image


Can't read the image? click here to refresh.
    *required field

Your bulk quote request has been submitted successfully!

Please contact us if you have any questions.