• Tel: 858.663.9055
  • SeparatorEmail: info@nsjbio.com
  • Tel: 858.663.9055
  • Email: info@nsjbio.com
Home >> Antibodies >> USP1 Antibody / Ubiquitin carboxyl-terminal hydrolase 1

USP1 Antibody / Ubiquitin carboxyl-terminal hydrolase 1 (RQ6728)

  Catalog No Formulation Size Price (USD)  
Image RQ6728 0.5mg/ml if reconstituted with 0.2ml sterile DI water 100 ug 439
Bulk quote request
Flow cytometry testing of human SiHa cells with USP1 antibody at 1ug/million cells (blocked with goat sera); Red=cells alone, Green=isotype control, Blue= USP1 antibody.
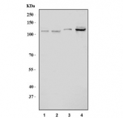
Western blot testing of 1) human HepG2, 2) monkey COS-7, 3) mouse kidney and 4) mouse testis tissue lysate with USP1 antibody. Expected molecular weight: 90-110 kDa.
Availability 1-3 business days
Species Reactivity Human, Mouse, Monkey
Format Antigen affinity purified
Clonality Polyclonal (rabbit origin)
Isotype Rabbit IgG
Purity Antigen affinity purified
Buffer Lyophilized from 1X PBS with 2% Trehalose
UniProt O94782
Applications Western Blot : 1-2ug/ml
Flow Cytometry : 1-3ug/million cells
Direct ELISA : 0.1-0.5ug/ml
Limitations This USP1 antibody is available for research use only.
Review this product on BioCompare and get a $20 Amazon gift card

Description

Ubiquitin carboxyl-terminal hydrolase 1 is an enzyme that in humans is encoded by the USP1 gene. This gene encodes a member of the ubiquitin-specific processing (UBP) family of proteases that is a deubiquitinating enzyme (DUB) with His and Cys domains. This protein is located in the cytoplasm and cleaves the ubiquitin moiety from ubiquitin-fused precursors and ubiquitinylated proteins. The protein specifically deubiquitinates a protein in the Fanconi anemia (FA) DNA repair pathway. Alternate transcriptional splice variants have been characterized.

Application Notes

Optimal dilution of the USP1 antibody should be determined by the researcher.

Immunogen

Recombinant human protein (amino acids K73-Y545) was used as the immunogen for the USP1 antibody.

Storage

After reconstitution, the USP1 antibody can be stored for up to one month at 4oC. For long-term, aliquot and store at -20oC. Avoid repeated freezing and thawing.

Cross
Bulk Quote Request Form
Name*:
Organization*:
Email*:
Phone Number*:
Catalog No.*:
Comments and Specifics(amount, formulation, etc.)*:
Validation code: Captchapackage Image


Can't read the image? click here to refresh.
    *required field

Your bulk quote request has been submitted successfully!

Please contact us if you have any questions.