• Tel: 858.663.9055
  • SeparatorEmail: info@nsjbio.com
  • Tel: 858.663.9055
  • Email: info@nsjbio.com
Home >> Antibodies >> Uroplakin 1B Antibody / UPK1B

Uroplakin 1B Antibody / UPK1B [clone UPK1B/3273] (V8153)

  Catalog No Formulation Size Price (USD)  
Image V8153-100UG 0.2 mg/ml in 1X PBS with 0.1 mg/ml BSA (US sourced) and 0.05% sodium azide 100 ug 539
Image
V8153-20UG 0.2 mg/ml in 1X PBS with 0.1 mg/ml BSA (US sourced) and 0.05% sodium azide 20 ug 249
Image
V8153SAF-100UG 1 mg/ml in 1X PBS; BSA free, sodium azide free 100 ug 539
Microvalidated
Bulk quote request
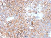
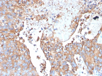
IHC staining of FFPE human urothelial carcinoma with Uroplakin 1B antibody. HIER: boil tissue sections in pH 9 10mM Tris with 1mM EDTA for 20 min and allow to cool before testing.
IHC staining of FFPE human urothelial carcinoma with Uroplakin 1B antibody. HIER: boil tissue sections in pH 9 10mM Tris with 1mM EDTA for 20 min and allow to cool before testing.
IHC staining of FFPE human urothelial carcinoma with Uroplakin 1B antibody. HIER: boil tissue sections in pH 9 10mM Tris with 1mM EDTA for 20 min and allow to cool before testing.
Analysis of HuProt(TM) microarray containing more than 19,000 full-length human proteins using Uroplakin 1B antibody (clone UPK1B/3273). These results demonstrate the foremost specificity of the UPK1B/3273 mAb. Z- and S- score: The Z-score represents the strength of a signal that an antibody (in combination with a fluorescently-tagged anti-IgG secondary Ab) produces when binding to a particular protein on the HuProt(TM) array. Z-scores are described in units of standard deviations (SD's) above the mean value of all signals generated on that array. If the targets on the HuProt(TM) are arranged in descending order of the Z-score, the S-score is the difference (also in units of SD's) between the Z-scores. The S-score therefore represents the relative target specificity of an Ab to its intended target.
SDS-PAGE analysis of purified, BSA-free UPK1B antibody as confirmation of integrity and purity.
Availability 1-3 business days
Species Reactivity Human
Format Purified
Clonality Monoclonal (mouse origin)
Isotype Mouse IgG1, kappa
Clone Name UPK1B/3273
Purity Protein G affinity chromatography
UniProt O75841
Localization Cell surface
Applications Immunohistochemistry (FFPE) : 1-2ug/ml
Limitations This Uroplakin 1B antibody is available for research use only.
Review this product on BioCompare and get a $20 Amazon gift card

Related Products

Description

The protein encoded by this gene is a member of the transmembrane 4 superfamily, also known as the tetraspanin family. Most of these members are cell-surface proteins that are characterized by the presence of four hydrophobic domains. The proteins mediate signal transduction events that play a role in the regulation of cell development, activation, growth and motility. This encoded protein is found in the asymmetrical unit membrane (AUM) where it can form a complex with other transmembrane 4 superfamily proteins. It may play a role in normal bladder epithelial physiology, possibly in regulating membrane permeability of superficial umbrella cells or in stabilizing the apical membrane through AUM/cytoskeletal interactions. UPK1B is expressed by terminally differentiated urothelial cells.

Application Notes

Optimal dilution of the Uroplakin 1B antibody should be determined by the researcher.

Immunogen

A recombinant human partial protein (amino acids 109-229) was used at the immunogen for this Uroplakin 1B antibody.

Storage

Store the Uroplakin 1B antibody at 2-8oC (with azide) or aliquot and store at -20oC or colder (without azide).

Cross
Bulk Quote Request Form
Name*:
Organization*:
Email*:
Phone Number*:
Catalog No.*:
Comments and Specifics(amount, formulation, etc.)*:
Validation code: Captchapackage Image


Can't read the image? click here to refresh.
    *required field

Your bulk quote request has been submitted successfully!

Please contact us if you have any questions.