• Tel: 858.663.9055
  • SeparatorEmail: info@nsjbio.com
  • Tel: 858.663.9055
  • Email: info@nsjbio.com
Home >> Antibodies >> Upstream stimulatory factor 1 Antibody / USF1 / BHLHB11

Upstream stimulatory factor 1 Antibody / USF1 / BHLHB11 (F54572)

  Catalog No Formulation Size Price (USD)  
Image F54572-0.4ML In 1X PBS, pH 7.4, with 0.09% sodium azide 0.4 ml 429
Image
F54572-0.08ML In 1X PBS, pH 7.4, with 0.09% sodium azide 0.08 ml 199
Bulk quote request
Western blot testing of mouse spleen tissue lysate with Upstream stimulatory factor 1 antibody. Predicted molecular weight ~28/34 kDa (two isoforms).
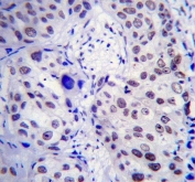
IHC testing of FFPE human breast carcinoma tissue with Upstream stimulatory factor 1 antibody. HIER: steam section in pH6 citrate buffer for 20 min and allow to cool prior to staining.
Immunofluorescent staining of fixed and permeabilized human SK-BR-3 cells with Upstream stimulatory factor 1 antibody (green), DAPI nuclear stain (blue) and anti-Actin (red).
Flow cytometry testing of human MCF7 cells with Upstream stimulatory factor 1 antibody; Blue=isotype control, Green= Upstream stimulatory factor 1 antibody.
Availability 1-3 business days
Species Reactivity Human, Mouse
Format Purified
Clonality Polyclonal (rabbit origin)
Isotype Rabbit Ig
Purity Antigen affinity purified
UniProt P22415
Localization Nuclear
Applications Western Blot : 1:500-1:2000
Flow Cytometry : 1:25 (1x10e6 cells)
Immunofluorescence : 1:25
Immunohistochemistry (FFPE) : 1:25
Limitations This Upstream stimulatory factor 1 antibody is available for research use only.
Review this product on BioCompare and get a $20 Amazon gift card

Related Products

Description

This gene encodes a member of the basic helix-loop-helix leucine zipper family, and can function as a cellular transcription factor. The encoded protein can activate transcription through pyrimidine-rich initiator (Inr) elements and E-box motifs. This gene has been linked to familial combined hyperlipidemia (FCHL). Two transcript variants encoding distinct isoforms have been identified for this gene.

Application Notes

The stated application concentrations are suggested starting points. Titration of the Upstream stimulatory factor 1 antibody may be required due to differences in protocols and secondary/substrate sensitivity.

Immunogen

A portion of amino acids 174-201 from the human protein was used as the immunogen for the Upstream stimulatory factor 1 antibody.

Storage

Aliquot the Upstream stimulatory factor 1 antibody and store frozen at -20oC or colder. Avoid repeated freeze-thaw cycles.

Cross
Bulk Quote Request Form
Name*:
Organization*:
Email*:
Phone Number*:
Catalog No.*:
Comments and Specifics(amount, formulation, etc.)*:
Validation code: Captchapackage Image


Can't read the image? click here to refresh.
    *required field

Your bulk quote request has been submitted successfully!

Please contact us if you have any questions.