• Tel: 858.663.9055
  • SeparatorEmail: info@nsjbio.com
  • Tel: 858.663.9055
  • Email: info@nsjbio.com
Home >> Antibodies >> UPF1 Antibody / Up-frameshift suppressor 1 / RENT1

UPF1 Antibody / Up-frameshift suppressor 1 / RENT1 [clone 19U80] (RQ8947)

  Catalog No Formulation Size Price (USD)  
Image RQ8947 Antibody in PBS with 0.02% sodium azide, 50% glycerol and 0.4-0.5mg/ml BSA 100 ug 439
Microvalidated Recrabbitmono
Bulk quote request
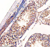
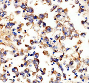
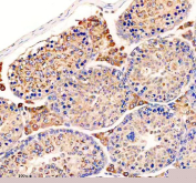
IHC staining of FFPE human testis cancer tissue with UPF1 antibody, HRP-secondary and DAB substrate. HIER: boil tissue sections in pH8 EDTA for 20 min and allow to cool before testing.
IHC staining of FFPE mouse testis tissue with UPF1 antibody, HRP-secondary and DAB substrate. HIER: boil tissue sections in pH8 EDTA for 20 min and allow to cool before testing.
IHC staining of FFPE rat testis tissue with UPF1 antibody, HRP-secondary and DAB substrate. HIER: boil tissue sections in pH8 EDTA for 20 min and allow to cool before testing.
Western blot testing of 1) human 293T, 2) human K562, 3) human PC-3 and 4) mouse thymus tissue lysate with UPF1 antibody. Predicted molecular weight ~124 kDa, but routinely observed at 130-140 kDa.
Availability 1-3 business days
Species Reactivity Human, Mouse, Rat
Format Antigen affinity purified
Clonality Recombinant Rabbit Monoclonal
Isotype Rabbit IgG
Clone Name 19U80
Purity Affinity purified
UniProt Q92900
Localization Cytoplasmic, Nuclear
Applications Western Blot : 1:1000
Immunohistochemistry (FFPE) : 1:50
Limitations This UPF1 antibody is available for research use only.
Review this product on BioCompare and get a $20 Amazon gift card

Related Products

Description

UPF1 antibody is a central reagent for research on RNA surveillance, gene regulation, and cellular quality control. The encoded protein, up frameshift suppressor 1 (UPF1), is an RNA helicase and ATPase that plays an essential role in nonsense mediated mRNA decay (NMD). This pathway detects and degrades mRNAs containing premature stop codons, preventing the accumulation of truncated proteins that could be harmful to cells. Through this activity, UPF1 safeguards transcriptome integrity and helps maintain proper gene expression.

UPF1 associates with the exon junction complex and interacts with other NMD factors, including UPF2 and UPF3, to form surveillance complexes on target transcripts. Its helicase activity enables it to remodel RNA protein complexes, while its phosphorylation state determines whether bound transcripts are degraded or stabilized. Beyond NMD, UPF1 has also been implicated in telomere maintenance, cell cycle regulation, and DNA replication stress responses, underscoring its multifunctional nature.

Research has linked UPF1 dysregulation to human disease. Mutations or altered expression of UPF1 can disrupt RNA surveillance, contributing to neurodevelopmental disorders and cancer. For example, reduced NMD activity has been associated with enhanced tumor progression due to the stabilization of aberrant mRNAs. Conversely, hyperactive NMD can impair expression of regulatory transcripts, leading to developmental abnormalities. These findings highlight UPF1 as a key factor in both normal physiology and disease pathology.

At the molecular level, UPF1 contains an RNA helicase domain with ATP binding motifs and regulatory regions that mediate interactions with NMD cofactors. Phosphorylation of UPF1 by SMG1 kinase is a crucial step in triggering mRNA decay. Structural and biochemical studies have shown that UPF1 undergoes major conformational changes upon RNA binding and phosphorylation, enabling it to act as a dynamic regulator of RNA fate.

The UPF1 antibody is widely used in western blotting, immunohistochemistry, immunofluorescence, and flow cytometry to detect protein expression, localization, and phosphorylation status. These applications support research into RNA decay, transcriptional fidelity, and cancer biology. For investigators studying RNA metabolism, gene expression control, or surveillance pathways, the UPF1 antibody is a reliable and specific detection tool. NSJ Bioreagents provides validated antibodies that ensure reproducibility and accuracy in advanced molecular studies.

Application Notes

Optimal dilution of the UPF1 antibody should be determined by the researcher.

Immunogen

A peptide specific to Up-frameshift suppressor 1 protein was used as the immunogen for the UPF1 antibody.

Storage

After reconstitution, the UPF1 antibody can be stored for up to one month at 4oC. For long-term, aliquot and store at -20oC. Avoid repeated freezing and thawing.

Cross
Bulk Quote Request Form
Name*:
Organization*:
Email*:
Phone Number*:
Catalog No.*:
Comments and Specifics(amount, formulation, etc.)*:
Validation code: Captchapackage Image


Can't read the image? click here to refresh.
    *required field

Your bulk quote request has been submitted successfully!

Please contact us if you have any questions.